

田小姐是一名活躍於國際市場的業務主管,長年奔波海外。大量簡報、密集會議、面對面談判,是她的日常。清晰的口條與優雅的笑容,是她與客戶建立信任最重要的工具。
Ms. Tian is a sales executive active in international markets, frequently traveling overseas. Presentations, high-stakes meetings, and face-to-face negotiations define her routine. Clear articulation and an elegant smile are essential tools for building trust with clients.
然而,她始終有個困擾,牙齒色澤偏黃、齒形比例不佳。每當投影燈光打在臉上,她總擔心笑容顯得沉重,讓專業形象打了折扣。
Yet she carried a quiet concern: uneven yellowish discoloration and disproportionate tooth shapes. Under bright projection lights, she worried her smile appeared dull, subtly weakening her professional presence.
在了解「新式瓷牙貼片」後,她決定前往蒔美牙醫前牙美學部諮詢,希望為這個長年困擾畫下句點。
After learning about modern porcelain veneers, she scheduled a consultation at the Aesthetic Anterior Department of Smile Dental Clinic, determined to resolve a concern that had lingered for years.
瓷牙貼片療程前評估:從健康出發的美學設計
Porcelain Veneers Begin with Comprehensive Evaluation





徐振庭醫師為她進行詳細檢查,包括環口X光、3D電腦斷層掃描與數位口腔掃描,確認牙周與齒質健康無虞,才正式進入美學規劃。
Dr. Hsu conducted a comprehensive assessment, including panoramic X-ray, 3D CBCT imaging, and digital intraoral scanning. Only after confirming periodontal and structural health did the team proceed to aesthetic planning.
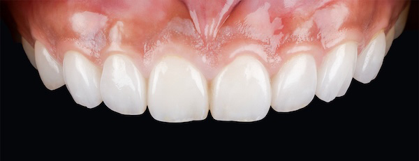
經分析後,田小姐的笑容主要存在三個問題:
色澤不均與偏黃
牙齒呈現混濁黃調,局部色差堆積,在燈光下缺乏通透感,使笑容顯得厚重而沉悶。
齒形比例失衡
牙齒比例不對稱,側門牙為先天釘狀齒,型態偏小且排列略為歪斜,影響整體協調。
邊緣線條不流暢
切端有磨耗與細微崩角,使微笑曲線偏平,少了柔和延展的弧度。
The evaluation identified three key concerns influencing veneer design:
1. Uneven, yellowish discoloration
A cloudy yellow tone and localized staining reduced translucency, making her smile appear heavier under light.
2. Disproportionate tooth shapes
Congenital peg-shaped lateral incisors were smaller and slightly misaligned, disrupting harmony.
3. Irregular incisal edges
Minor wear and chipping flattened the smile arc.
瓷牙貼片設計前影像溝通:避免「死白」的關鍵
Designing Porcelain Veneers Without an Artificial Look

評估時,田小姐坦言:「其實想做貼片很久了,但看到朋友做成很死白,就一直猶豫....」
During consultation, she admitted, “I’ve wanted veneers for years, but I hesitated after seeing an unnaturally opaque result.”
為了讓色澤與型態都符合她心中的期待,蒔美團隊結合DSD數位微笑設計系統,在治療前即完成完整藍圖。田小姐可以事先預覽貼片完成後的樣貌,徐振庭醫師從色階選擇、齒形比例到邊緣線條細節逐一給予專業建議。透過反覆影像溝通與修正,建立清楚共識,直到整體設計趨近理想。
To ensure the shade and proportions aligned with her expectations, the team utilized Digital Smile Design (DSD) to create a detailed blueprint before treatment began. She was able to preview the projected outcome and refine color, proportions, and contours until the design felt right.
瓷牙貼片與動態美學:讓笑容自然流動
Porcelain Veneers Designed for Dynamic Expression
真正的笑容,是動態的。
A true smile is dynamic.
除了牙齒排列與型態,還必須考量牙齦比例、唇形框架與臉部五官協調。更重要的是,與人互動時的動態笑容。
It goes beyond the alignment and morphology of the teeth; it must account for gingival proportions, the frame of the lips, and overall facial harmony. More importantly, it must consider how a smile behaves during real-life interactions.
蒔美運用 RayFace 臉部掃描儀,分析臉型與笑容的多角度平面關係,並搭配動態攝影觀察笑肌運動與唇角弧度變化。讓最終呈現的笑容,不論是淺笑、微笑,或開懷大笑,都能自然流暢、動靜皆宜。
Smile Dental utilizes the RayFace facial scanner to analyze the multi-angled relationship between facial structures and the smile. Combined with dynamic videography, we observe the movement of the zygomatic muscles and the subtle curves of the lip line. This ensures that the final result—whether a smirk, a gentle smile, or a hearty laugh—is naturally fluid and flawlessly balanced in both motion and rest.
瓷牙貼片客製流程:精細調整與試戴確認
Customized Porcelain Veneer Workflow


在確認田小姐最在意的色階後,先進行冷光美白,提升齒色明度,使後續貼片的遮色與呈色效果更為細緻自然。
After confirming Ms. Tian's preferred shade level, we first performed In-Office Cold Light Whitening to enhance the brightness of the natural teeth. This ensures that the subsequent veneers achieve a more refined and natural-looking color through superior masking and shading.
院內數位牙體技術師全程參與,比色與型態同步現場校準,降低設計與成品之間的誤差。
Our in-house digital dental technicians participated throughout the entire process, performing real-time calibration of shade and morphology on-site to minimize discrepancies between the digital design and the final restoration.
原本擔心需要矯正的釘狀齒,經評估屬於輕度齒列不整,可透過貼片調整排列與比例,同步改善外型。
Regarding the peg lateral incisors that she feared might require orthodontic treatment, our assessment concluded that the mild crowding could be effectively addressed through veneers. This allowed us to realign the teeth, adjust their proportions, and enhance their overall shape simultaneously.
療程中亦安排臨時貼片試戴,讓她實際感受咬合狀態與整體笑容呈現,再進行最後微調,確保成果符合期待。
During the treatment, a temporary veneer trial was arranged, allowing her to physically experience her bite and the aesthetic appearance of her smile. This facilitated final fine-tuning to ensure the results perfectly met her expectations.
瓷牙貼片笑容:讓美,不止於一瞬
A veneer smile, made to last.
如今,田小姐的笑容煥然一新。回診時,她變得更健談,笑聲也多了起來。
Today, her smile feels renewed. She speaks more freely and laughs more often.
她說,簡報時不再下意識抿嘴;與客戶寒暄時,可以更自在地開懷而笑。那份從容,是專業的一部分,也是自信真正回來的樣子。
She no longer suppresses her smile during presentations. That ease has become part of her professional identity.
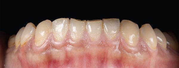
蒔美透過動態咬合評估系統,診斷合適咬合關係,降低日後磨耗風險,延長貼片壽命。
Dynamic occlusal analysis ensures proper bite alignment, protecting veneer longevity.
真正的美,不只閃耀一瞬,而是能長久陪伴每一次重要時刻!
True beauty does not shine for a moment — it endures.






































