



郭老師是一名愛漂亮的年輕女性,熱衷於舞蹈表演,個性自信又開朗。然而,在她盡情展現自我的路上,始終有一個讓她格外在意的困擾,那就是她那口不太整齊的牙齒。
Ms. Guo is a young woman who values her appearance and is deeply passionate about dance. She possesses a confident and cheerful personality. However, on her journey of self-expression, she has always been troubled by a particular concern: her misaligned teeth.
不僅前牙錯咬,還伴隨輕微的戽斗,這些問題都讓她覺得笑容不夠美觀。
也因此,她萌生了矯正的念頭,決定嘗試近年來廣受好評的隱適美矯正牙套.....
Beyond having an anterior crossbite, she also dealt with a mild underbite—issues that made her feel her smile was not as aesthetic as it could be. This prompted her to consider orthodontic treatment, leading her to try Invisalign—the clear aligner system that has received widespread acclaim in recent years.
走過多家隱適美診所諮詢,最終找到信任的選擇
After consulting several Invisalign clinics, she ultimately found a provider she could truly trust.


其實,郭老師的矯正之路並非一開始就順利。她曾諮詢過多家隱適美診所,卻始終留下不太理想的觀感。
In truth, Ms. Guo’s orthodontic journey did not start out smoothly. She had consulted several Invisalign clinics, but her initial experiences left much to be desired.
有些診所未能清楚說明療程規劃與整體費用結構,使她對未來可能產生的額外負擔感到不安,也因此難以建立信任。
Some clinics failed to provide a clear explanation of the treatment plan and overall fee structure. This lack of transparency made her feel uneasy about potential hidden costs, making it difficult to establish a sense of trust.
直到來到蒔美隱形矯正部,她才感受到截然不同的氛圍。這裡的服務態度真誠,流程與費用皆清楚透明,讓她終於能夠安心地踏上這段矯正旅程。
It wasn't until she visited the Invisalign Department at Smile Aesthetics that she experienced a completely different atmosphere. The sincere service, combined with transparent processes and pricing, finally allowed her to embark on this transformation with total peace of mind.
隱適美能改善戽斗嗎?專業整合治療如何突破複雜咬合
Can Invisalign Improve an Underbite? Integrated Treatment for Complex Malocclusion

本次由「蒔美隱形矯正部」主任柯瑾諭醫師為她進行專業評估。
For this case, Dr. Ko Chin-Yu, Director of the Invisalign Department at Smile Dental, conducted a professional evaluation.
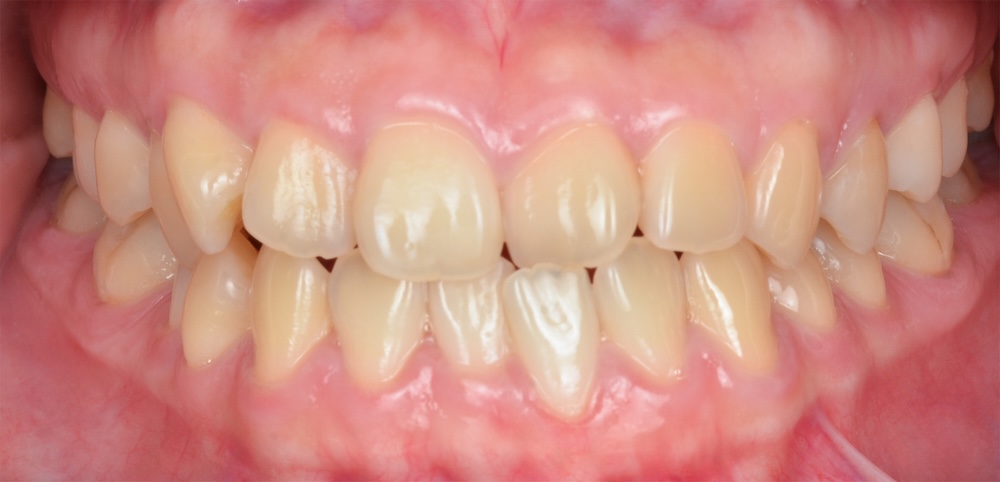
經檢查發現,郭老師有輕微的下顎前凸,也就是俗稱的「戽斗」。此外,前牙亦存在些微錯咬情況,意指上下牙齒在排列與咬合位置上未能對齊,不僅造成視覺上的凌亂,也影響整體咬合關係。
The examination revealed that Ms. Guo had mild mandibular protrusion, commonly known as an "underbite." Additionally, she presented with a slight anterior crossbite—meaning her upper and lower teeth did not align properly—which caused both visual crowding and impacted her overall bite relationship.
另外,她的牙弓狹窄,呈現 V 字形,導致齒列擁擠、排列空間不足。這些因素正是讓她覺得咬合與笑容不夠理想的主要原因。
Furthermore, she had a narrow, V-shaped dental arch, resulting in dental crowding and insufficient space for proper alignment. These factors were the primary reasons her bite and smile felt less than ideal.
在完整了解自身狀況後,郭老師心中難免有些擔心:「這麼複雜的咬合問題,真的能單靠隱適美完整改善嗎?會不會需要傳統矯正。」
Upon fully understanding her condition, Ms. Guo couldn't help but feel concerned: "Can such a complex bite issue really be fully corrected with Invisalign alone? Will I need traditional braces instead?"
所幸,柯瑾諭醫師擅長「隱形矯正結合輔助裝置」的治療方式,透過隱適美搭配各種矯正工具與技術,整合不同治療優勢,使複雜咬合情況亦能兼顧牙齒移動效率與治療品質。
Fortunately, Dr. Ko specializes in "clear aligners combined with auxiliary devices." By pairing Invisalign with various orthodontic tools and techniques, she integrates the advantages of different treatments, ensuring that even complex bite cases achieve both efficient tooth movement and high-quality results.
隱適美數位模擬|看得見改變,矯正更安心
Invisalign Digital Planning | Visualizing the Transformation
在正式進入矯正前,柯瑾諭醫師先透過隱適美原廠「iTero 口掃設備」進行數位掃描,並以影像模擬牙齒未來的移動過程與最終成果。
Before officially beginning the treatment, Dr. Ko Chin-Yu used the proprietary Invisalign "iTero Intraoral Scanner" to perform a digital scan, simulating the future movement of the teeth and the final outcome through detailed imagery.
透過影像化的治療藍圖,郭老師不僅能預見改變後的樣貌,也更清楚理解每一步的治療方向與目的,對整體療程建立了踏實的信心。
Through this visual treatment blueprint, Ms. Guo could not only preview her transformed appearance but also clearly understand the direction and purpose of every step, building solid confidence in the overall treatment process.
*柯醫師規劃以下治療策略,為牙齒爭取足夠的排列空間:
Dr. Ko planned the following treatment strategies to create sufficient space for proper dental alignment:
一、後退擴弓調整牙弓形態
將牙齒適度向後移動,並同步擴展牙弓寬度,為偏窄的齒列創造排列空間。
Distalization and Arch Expansion: Modifying the arch form by moving the teeth backward while simultaneously expanding the width of the dental arch to create necessary space for the narrow dentition.
二、適度修磨牙縫(IPR)創造排列空間
在牙齒鄰接面進行精準且微量的修整,釋放牙齒排列所需的空間。
Interproximal Reduction (IPR): Creating additional space by performing precise, microscopic reshaping of the surfaces between the teeth to release the room needed for proper alignment.
三、隱適美漸進式力量控制
透過隱適美穩定可控的力量,引導牙齒逐步排列整齊,同時維持咬合穩定與整體比例。
Invisalign Progressive Force Control: Utilizing the stable and controlled forces of Invisalign to guide the teeth into alignment step-by-step, while maintaining occlusal stability and overall facial proportions.
隱適美療程彈性|海外演出也不影響矯正進度
Invisalign Flexibility | No Interruption Despite Overseas Performances


矯正期間,郭老師曾前往迪士尼參與舞蹈演出。她一度擔心,長時間在國外是否會耽誤回診進度,進而影響整體矯正效率。
During her treatment, Ms. Guo traveled to Disney for a dance performance. She was initially concerned that being abroad for an extended period might delay her follow-up appointments and, in turn, affect the overall efficiency of her orthodontic progress.
然而,由於選擇的是隱適美隱形矯正,牙套可預先領取,回診週期也較傳統矯正更具彈性。即便人在海外,療程依然能按照規劃穩定進行,不必因行程而中斷。
However, because she chose Invisalign, she was able to receive her aligners in advance. The follow-up schedule is also much more flexible compared to traditional braces, allowing her treatment to proceed steadily as planned without any interruptions due to her travels.
此外,舞蹈表演過程中經常需要自信地露齒微笑。隱適美牙套的高透明度,使她即使配戴矯正裝置,也不影響外觀與舞台表現,依然能自在展現笑容與專業姿態。
Furthermore, dance performances often require a confident smile. The high transparency of Invisalign aligners ensured that even while wearing her orthodontic appliance, her appearance and stage performance remained unaffected, allowing her to showcase her smile and professional poise with ease.
柯瑾諭醫師也補充,針對經常需要海外出差或行程忙碌的族群,蒔美提供法國醫師研發的遠端矯正監控系統「Dental Monitoring」。患者可透過專屬 App 拍攝口腔影像,讓醫師即時掌握牙齒移動狀況與配戴情形,即使身在海外,也能確保治療進度不受影響。
Dr. Ko Chin-Yu added that for those who frequently travel for business or have busy schedules, Smile Aesthetics offers "Dental Monitoring," a remote orthodontic monitoring system developed by French doctors. Patients can use a dedicated App to take intraoral images, allowing the doctor to track tooth movement and compliance in real-time. This ensures that treatment progress stays on track, even from across the globe.
隱適美成人矯正|長大後依然能完成笑容心願
Invisalign Adult Orthodontics | It’s Never Too Late to Transform Your Smile
兩年半的堅持與配合,最終換來令人驚艷的矯正成果!
Two and a half years of dedication and cooperation have finally paid off with stunning orthodontic results!
熱愛舞蹈的她,如今在舞台上更能自信大方地展露笑容,舉手投足之間,多了一份從容與自在。
As a passionate dancer, she can now showcase her smile on stage with even greater confidence. Every movement and gesture now carries a newfound sense of grace and ease.
她表示,身為一名老師,除了重視最終成果,更在意的是治療過程中的專業度與溝通感受。而在這段療程中,蒔美始終以清楚的說明與細膩的照顧,讓她感受到尊重與安心。
She mentioned that as a teacher, she values the professionalism and communication during the process just as much as the final result. Throughout this journey, Smile Aesthetics provided clear explanations and attentive care, making her feel respected and at peace.
從小以來,她一直對牙齒不整齊與戽斗問題耿耿於懷,甚至一度以為只有兒童與青少年才適合矯正,長大後就難以改善。沒想到成年以後,仍有機會完成這個關於笑容的心願。
Since childhood, she had been self-conscious about her misaligned teeth and underbite. She once believed that orthodontics was only for children and teenagers and that improvements would be difficult as an adult. To her surprise, she still had the opportunity to fulfill this lifelong wish for a beautiful smile in her adulthood.
她也鼓勵同樣在觀望的成年人,如果想矯正,不必擔心太晚。改變從來沒有年齡限制,只要願意踏出那一步,笑容就能慢慢走向理想的樣子。
She encourages other adults who are still hesitant: if you want to seek orthodontic treatment, do not worry that it is too late. There is no age limit for change—as long as you are willing to take that first step, your smile can gradually transform into exactly what you’ve envisioned.










































