一日假牙步驟
One-Day Crown Procedure
STEP 1. 數位資料搜集

STEP 2. 醫師諮詢評估與修磨牙齒

STEP 3. 數位技師即時製作

STEP 4. 當日完成

意外總是說來就來
誰也料想不到

可能是在過年團圓時,忍不住大口咬下雞腿,牙齒居然就斷了;
也可能是在打籃球時被對手撞了一下,牙齒就裂了;
甚至只是走路滑著手機卻不小心跌倒,都可能導致牙齒崩裂、鬆動甚至脫落。
這種說來就來的意外,不僅打亂原本排好的行程,也讓人一下子對說話、微笑或見客戶,都失去了自信。
在過去,大家對這類「缺牙、壞牙」的想像,多半是漫長的等待:
只能先暫時將就、不好看也沒辦法,必須一趟又一趟回診,等假牙慢慢做好。
對於需要經常面對客戶、上台簡報、或很在意門面的人來說,這段空窗期,常常比牙齒受傷本身還要困擾。
現在,數位牙科帶來了不一樣的選擇。
透過數位科技的輔助,大幅縮短等待期,這表示當意外發生時,
你不一定得接受「先醜一陣子」的過渡期,而是能夠選擇立即性的解決方案。
蒔美數位一日假牙
精準|快速|美學
蒔美數位一日假牙,以數位牙科為核心,
結合專科醫師、數位牙技師及專屬牙技中心,
讓患者在當天即可完成高品質的全瓷冠或貼片修復。
在醫師完成牙齒修磨後,我們以數位掃描取代傳統印模的異物感與誤差;
院內專屬技師隨即進行即時研磨與微調,每一步都嚴格把關,確保牙齒的型態、咬合與色澤皆能精準達到理想效果。
蒔美技師團隊與醫師在療程中密切協作,根據患者的咬合習慣與受力情況,
即時打磨至最舒適的形態,並精準比對自然齒色。
憑藉多年的美學經驗累積,我們致力於打造出「外觀自然、咬合順暢、完美貼合」的長久修復體。
蒔美數位一日假牙的優勢是什麼?
蒔美數位一日假牙透過核心技術的整合,將傳統需要數週的療程濃縮至一天內完成,其具體優勢如下:
1.跨科別整合醫療團隊

跨科別整合醫療團隊
專業協作
由資深專科醫師領軍,包含口腔顎面外科、牙周專科、贗復美學專科及麻醉團隊。
精準治療計畫
跨科醫師針對患者的缺牙或斷牙狀況,進行全方位的數位評估,確保假牙修復兼具功能性與美學。
2.全數位化高端設備

口內掃描儀
快速精準地獲取 3D 口腔數據,取代傳統印模的異物感,大幅提升取模過程的舒適度。

臉部掃描
捕捉自然生動的臉部輪廓與表情,讓牙齒設計能完美融入臉型比例,打造和諧的微笑曲線。

數位4D動態咬合分析
精確記錄下顎運動軌跡,將咬合從靜態提升至動態層次,確保假牙在實際進食時更加舒適、無異物感。

即時研磨技術
採用 CEREC 3D 齒雕 等 CAD/CAM 數位修復技術,在臨床端即可完成假牙切削,實現「一日有牙」。
3.數位牙技師及數位牙技中心
• 院內一站式服務

蒔美設有專屬的「數位牙體技術中心」,省去假牙外送技工所的來回時間。
• 職人即時微調

專業數位牙技師在療程現場與醫師密切配合,針對假牙的型態、咬合與色澤進行即時打磨與調整,確保假牙完美貼合且外觀自然。
透過這些優勢的結合,蒔美能在意外發生後,讓您不必經歷漫長的「缺牙尷尬期」,而是以高品質、高效率的方式找回自信。
蒔美數位一日假牙是如何完成的?
1.專科醫師診察與諮詢

由醫師進行詳細的臨床檢查,評估牙齒受損狀況與牙根穩定度,並與您討論最合適的修復計畫。
2.數位口內掃描

確認治療方案後,醫師操作 3Shape 口內掃描儀 獲取牙齒修磨後的數位模型,取代傳統印模的不適。
3.數位數據採集

同步利用 Rayface 3D 臉部掃描 獲取面部比例,並導入 MODJAW 數位 4D 咬合記錄,捕捉真實的進食與運動軌跡。
4.技師與患者面對面溝通

在蒔美,我們打破傳統假牙製作流程,於正式製作前安排牙技師與您親自面對面溝通,深入了解您的想法與配戴感受,再進行後續精細製作。
5.數位技師即時設計

駐院牙技師根據醫師提供的數據與您的溝通偏好,與醫師現場協作,即刻完成 1:1 的全瓷美學設計。
6.高效能自動研磨

設計數據傳送至院內研磨機,精準切削全瓷塊,產出修復體原型。
7.職人上色與釉燒

由技師手工進行精細染料處理與釉燒程序,賦予假牙原生牙齒般的自然層次與色澤。
8.醫師確認與佩戴

最後由醫師檢查咬合與外觀,確認後進行黏貼固定,當天即刻恢復笑容。
職人精神與高端科技的殿堂

蒔美長期深耕假牙製作技術,累積了極為豐富的臨床與實務經驗,並憑藉卓越的品質獲得眾多醫師的信任與肯定。
作為業界的技術指標,我們持續與專業領域進行深度交流與技術合作。
中心內的醫師與講師級牙技團隊對每一道細節反覆琢磨,秉持精益求精的態度,將數位設計與 3D 列印技術完美結合。
我們不只追求效率,更致力於打造兼具美觀、自然與耐用度的高品質修復成果。
資深講師級團隊,定義美學新標準

在蒔美,我們打破傳統假牙製作的隔閡。在正式製作前,我們特別安排牙技師與您親自面對面溝通。蒔美的數位牙技團隊由業內資深、經驗豐富且具備深厚美學底蘊的「講師等級」技師組成,他們不僅是製作假牙的專家,更是受邀傳授技術的產業領路人。
透過這份專業,我們能深入了解您的想法與配戴感受,將講師級的精湛工藝,轉化為專屬於您的修復成果。
講師級視野,調整更到位
由具備教學與實務雙重資歷的技師與您直接對話。您能依照實際使用體驗討論需求,講師級技師能精準捕捉細微差異,讓設計修正更具方向與精準度。深厚美學素養,貼近您的期待
資深技師憑藉對牙齒形態與顏色的敏銳美感,在正式製作前親自與您確認細節,充分掌握您對外觀與氣質的期望,讓假牙如同原生牙齒般自然。資深經驗累積,舒適再升級
結合多年臨床解決複雜案例的經驗,每顆假牙皆依個人口腔條件客製調整,讓密合度、穩定度與咬合舒適度達到極致標準。為什麼蒔美能做到「更快、更準、更舒適」?
數位製程縮短治療週期,找回您的時間成本
傳統假牙從取模、外送技工所到反覆修改,往往需要數週的「缺牙空窗期」。蒔美透過院內一站式數位製程,將設計與製作端搬進診所。這不只是省去物流時間,更意味著醫師與講師級技師能即時溝通,將治療濃縮在當天,通常只需 1 至 2 次回診,讓生活與工作迅速回到軌道。
多機一體的數據整合,換取真正的配戴舒適度
一般診所的「舒適」僅停留在不用咬模;蒔美的「舒適」則是讓假牙適應您的口腔。 我們整合了 3Shape、Rayface 與 MODJAW,將傳統 5-10 分鐘誘發嘔吐的印模過程,轉化為幾分鐘的數位掃描。更重要的價值在於,這三項數據能讓我們精準掌握您的臉型美感與真實咀嚼路徑,製作出不壓迫牙齦、不產生異物感,且與五官比例和諧的假牙。
講師級技師的精準把關,降低二次治療風險
「快」不代表妥協精準度。傳統人工操作難免有物理誤差,而我們透過數位三機協作,全面捕捉口腔構造與動態數據。在講師級數位牙技師的專業微調下,每一顆假牙都能達到極致的邊緣密合度。這不僅大幅降低了後續調整的頻率,更能有效預防因縫隙產生的二次蛀牙,這才是真正的長久耐用。
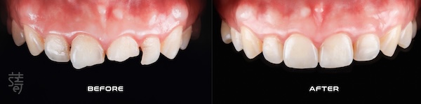
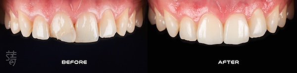
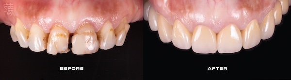
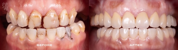
一日假牙案例
Case
常見問答
FAQ







































