

九歲的小綺正值對自我形象產生認知的年紀,心思細膩的她,平時就很注重生活中的美感細節。然而,隨著換牙期開始,小綺發現新長出的牙齒越來越凌亂,原本燦爛的笑容逐漸變得彆扭,甚至開始不愛拍照,這些微小的變化,爸爸都看在眼底。
At nine years old, Xiao-Qi is at an age of growing self-awareness. Naturally perceptive, she has always had a keen eye for the aesthetic details in her life. However, as her permanent teeth began to erupt, she noticed they were becoming increasingly crowded. Her once radiant smile started to feel awkward, and she even began to shy away from the camera—subtle changes that her father observed with quiet concern.
一次偶然的機會,爸爸看到小綺的同學在蒔美牙醫進行矯正,觀察到同學在成長過程中,牙齒逐漸變得整齊且健康。這讓他意識到,在孩子發育的關鍵期及早評估,或許能為孩子未來的牙齒健康與自信,多留一份選擇與調整的彈性。
By chance, her father noticed one of Xiao-Qi's classmates undergoing treatment at Smile Dental. Seeing how the classmate's teeth were becoming aligned and healthy during their growth phase, he realized that an early assessment during this critical developmental window could provide more options and flexibility for his daughter’s future dental health and self-confidence.
於是,爸爸帶著小綺來到蒔美牙醫,開啟了一場完整的早期矯正評估之旅......
Consequently, he brought Xiao-Qi to Smile Dental, beginning a journey of comprehensive early orthodontic assessment...
9 歲早期矯正評估:為未來鋪路,避免恆牙萌發困難
An Assessment at Age Nine: Planning Ahead for Permanent Teeth



這次為小綺評估的陳鈺婷醫師,同時具備兒童牙科與齒顎矯正雙專科背景,能從生長發育角度,及早觀察孩子在成長過程中可能出現的齒列問題。
With training in both pediatric dentistry and orthodontics, Dr. Chen evaluated the case from a developmental perspective, making adjustments appropriate to the child’s current stage of growth.
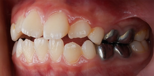
評估中發現,小綺已有多顆恆牙陸續萌發,但因牙弓偏窄、整體生長空間不足,導致牙齒排列擁擠凌亂,上顎犬齒在未來萌發時,也可能面臨空間不足的風險。
Several permanent teeth had already emerged, but limited arch width raised concerns about crowding—particularly for the upper canines, which require more space to erupt properly.
陳醫師進一步說明,上顎犬齒是齒列中的「最後一塊拼圖」,因其萌發路徑最長、體積較大,若不提早規劃空間,未來犬齒便容易因受擠壓而歪斜生長,甚至演變成「阻生齒」,直接卡在顎骨中無法正常萌發。
Upper canines erupt later and demand more room. Without early guidance, they can drift off course—or become impacted within the jawbone.
開咬問題,也能透過早期矯正逐步改善
Addressing an Open Bite During Growth


陳醫師同時觀察到,小綺在嘴唇自然放鬆時,嘴型顯得不夠自然,並伴隨明顯的「開咬」,也就是在自然閉口狀態下,上下顎牙齒無法正常接觸。
Even with her lips relaxed, Xiao-Qi’s lip posture appeared strained, with a clear open bite preventing normal tooth contact.
開咬不僅影響笑容美觀,也讓小綺無法輕鬆地用門牙咬斷食物(如麵條或披薩),這不僅影響進食效率,長期下來也會造成後牙過度負擔。若能在換牙期及早介入矯正治療,便能在成長過程中逐步改善,為後續發育預留更好的空間。
Beyond appearance, an open bite can interfere with function. Early intervention allows gradual correction while growth is still underway.
一定要早期矯正嗎?不是還在換牙?
Is Early Orthodontic Treatment Really Necessary?

聽到早期矯正建議時,許多家長難免會有疑問:「孩子還在換牙,現在就要開始處理嗎?」
For many parents, the suggestion raises a familiar question: why intervene when baby teeth are still being replaced?
對此,陳醫師特別提醒,早期矯正的重點,並不只是改善當下的外觀,而是在孩子仍處於發育階段時,透過生長潛力,逐步調整咬合與空間配置,並發揮幾個關鍵作用:
In response, Dr. Chen emphasized that the goal of early orthodontic treatment is not merely to improve appearance, but to work with a child’s ongoing growth to gradually guide bite function and spatial development during a critical developmental stage.
• 引導牙弓發展,為恆牙萌發創造有利的條件
• 預留足夠的生長空間,讓恆牙能順利長出來
• 降低未來再次矯正或需要更複雜治療,甚至拔牙的可能性
早期矯正並非「提前」矯正,而是「引導」發育。 它是利用孩子正在生長的潛力,將原本可能演變為複雜的拔牙或矯正問題,轉化為更自然且輕量化的空間引導。
• Guiding arch development to support healthy eruption.
• Preserving space so permanent teeth can emerge naturally.
• Reducing the likelihood of more invasive treatment later on.
Early treatment shouldn't be seen as starting traditional braces early, but as guiding the developmental process. It uses the child's growth to create space naturally, reducing the need for more invasive procedures like extractions later in life.
早期矯正的基本原則:先處理健康,再談矯正
A Foundational Rule: Health Comes First
在實際治療上,陳醫師依循雙專科視角,將療程規劃為兩大階段:
Treatment was structured in phases, beginning with oral health.
第一階段|優先處理口腔健康
在進入矯正前,先完成多顆蛀牙的治療,並依孩子與家長意願,選擇以不鏽鋼牙套或全瓷牙冠進行修復。
小綺在部分牙齦邊緣的清潔仍有加強空間,因此團隊也同步加強口腔清潔觀念與指導,為後續矯正療程建立正確的清潔基礎。
Phase One: Stabilizing Oral Health
Cavities were addressed first, using restorations like Stainless Steel Crowns or All-Ceramic Crowns. Hygiene guidance was reinforced—an essential step before orthodontic appliances are introduced.
第二階段|早期矯正介入
在口腔健康狀況穩定後,進入矯正方向的討論。由於小綺與爸爸都相當在意矯正期的外觀,希望能在不影響生活與自信的情況下進行治療,最終選擇了兒童隱適美早期矯正療程。
透過兼顧美觀與舒適度的矯正方式,讓孩子在換牙期的關鍵階段,能更自在地配合治療,也安心地走過這段成長歷程。
Phase Two: Early Orthodontic Intervention
With health secured, attention turned to treatment options that would fit seamlessly into daily life. Comfort and discretion helped ensure steady cooperation during a sensitive developmental window.
僅僅一年,看見笑容的質變:兒童隱適美讓自信升級
One Year Later: Measurable Changes


原本家長以為可能漫長的空間調整,在陳醫師精準的「豆豆(SmartForce 附件)」設計下,與小綺的生長潛力完美契合。
What the parents initially feared might be a prolonged struggle for space became a seamless transition, thanks to Dr. Chen’s precision-engineered SmartForce attachments that worked in harmony with Xiao-Qi’s natural growth potential.
僅僅花了一年的時間,我們不只看見了牙齒排列的顯著改善,更重要的是,那道曾經令人擔憂的「開咬」隙縫已然閉合。這一年,笑容升級了,小綺的自信也隨著牙弓的舒展,變得更加燦爛。.
In just one year, the transformation was undeniable. Beyond the improved alignment, the concerning open bite had successfully closed. As her dental arch expanded, so did her confidence—elevating her smile to a new level of radiance.
此外,兒童隱適美也體貼地照顧了小綺在矯正期間的情緒。原先擔心牙套外觀會帶來同儕壓力,但透明、舒適的設計讓她在校園生活中幾乎不受影響,能更自在、自信地配合整個蛻變過程。
Invisalign First also ensured that Xiao-Qi’s emotional well-being was prioritized. The transparent, comfortable design eliminated the social anxiety often associated with traditional braces, allowing her to move through her daily life undisturbed and fully embrace her journey of growth.
一年的自律,一輩子的自信:兒童隱適美翻轉開咬與擁擠
One Year of Discipline, a Lifetime of Confidence: Invisalign First Transforms Open Bite and Crowding.
這一年,在康橋的同學與師長眼中,小綺變得比以前更自律了。透過規律配戴的過程,她逐漸培養出更好的自我管理能力。
此外,隨著矯正科技的進步,若家長因工作忙碌、難以頻繁回診,也可搭配遠端矯正監測系統 Dental Monitoring,在家即可完成線上追蹤,同時兼顧治療效率,並減少回診往返的時間。
如今,小綺笑得自在而燦爛,爸爸回頭看當初的選擇,只覺得慶幸也值得。
規律的配戴讓孩子養成了自律的節奏;科技的輔助則給家長更彈性的選擇。當成長被溫柔引導,改變往往在靜謐中自然綻放。
Routine brought structure—and with it, growing self-discipline. With tools like Dental Monitoring, follow-up became more flexible, allowing care to continue beyond the clinic without compromising clinical oversight. Looking back, the decision feels measured—and worthwhile. When growth is guided, change tends to follow quietly.






































