

外貌清秀、氣質優雅的黃小姐,從小就為笑容所困擾。
Ms. Huang, a woman of delicate features and elegant demeanor, had been troubled by her smile since childhood.
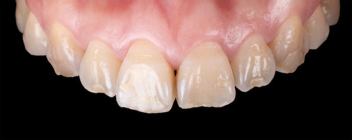
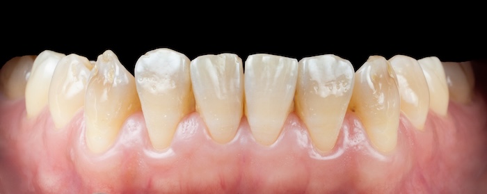
在牙齒發育階段,她曾因疾病服用四環黴素類抗生素,藥物沉積在發育中的牙胚,導致牙齒出現永久性變色,一開口,笑容便呈現灰褐的深沈色調。
During her tooth development stage, she took tetracycline antibiotics due to illness. The medication deposited in the developing tooth germs, resulting in permanent discoloration. Whenever she spoke, her smile revealed a deep, grayish-brown hue.
早年,她也曾到其他診所嘗試牙齒美白,但化學性的牙齒美白對於這類「內源性染色」的改善其實相當有限。幾次嘗試之後,她對改變笑容這件事也逐漸失去了信心。
In her younger years, she visited other clinics to try teeth whitening, but chemical whitening treatments offer very limited improvement for this type of "intrinsic staining." After several attempts, she gradually lost confidence in ever changing her smile.
直到有一次來到蒔美牙醫就診,她才第一次接觸到「瓷牙貼片」這項美學療程,也因此發現,原來許多和她一樣受到四環黴素染色困擾的患者,都能透過瓷牙貼片重新找回自然的笑容質感。
It wasn't until a visit to Smile Dental Clinic that she was first introduced to "porcelain veneers." She discovered that many patients suffering from tetracycline staining, just like her, were able to regain a natural, high-quality smile through this aesthetic treatment.
瓷牙貼片術前評估|完整檢查找出笑容困擾的真正原因
Pre-Treatment Assessment for Veneers

本次為黃小姐進行治療的是蒔美前牙美學專科醫師李冠瑩醫師。李醫師先為黃小姐安排完整且詳盡的術前評估,包括拍攝全口 X 光片、口內數位掃描,以及全面性的口腔檢查與咬合分析,仔細確認牙齒與周圍軟硬組織的健康狀態,同時評估是否存在蛀牙、牙周疾病或咬合不正等問題。
The treatment was performed by Dr. Li Guan-ying, a specialist in anterior aesthetics at Smile Dental. Dr. Li first arranged a comprehensive pre-treatment assessment, including full-mouth X-rays, intraoral digital scanning, a thorough oral examination, and bite analysis. This was to carefully confirm the health of the teeth and surrounding soft and hard tissues while checking for cavities, periodontal disease, or malocclusion.




檢查後發現,黃小姐除了有四環黴素造成的牙齒染色問題外,牙齒還伴隨著明顯的脫鈣現象,使牙齒表面變得粗糙,琺瑯質呈現凹凸不平的狀態。這樣的表面質地會影響光線反射,使牙齒在視覺上更顯暗沉,也降低了整體笑容的亮度。
The examination revealed that in addition to the tetracycline staining, Ms. Huang’s teeth exhibited significant decalcification, making the tooth surfaces rough and the enamel uneven. This surface texture affected light reflection, making the teeth appear even duller and reducing the overall brightness of her smile.


此外,在咬合層面上,黃小姐同時存在「開咬」的問題,也就是上下牙齒在咬合時無法正常接觸,中間會留下明顯空隙。這些因素綜合在一起,正是讓黃小姐長期對自己笑容感到不滿意的主要原因。
Furthermore, regarding her bite, Ms. Huang also had an "open bite," meaning her upper and lower teeth did not touch normally when closing, leaving a visible gap. These combined factors were the primary reasons for her long-term dissatisfaction with her smile.
瓷牙貼片治療規劃|尊重患者需求,不過度醫療
Treatment Planning | Respecting Patient Needs

所幸,黃小姐的開咬問題並不嚴重,尚未影響到咀嚼等功能性表現。在這樣的情況下,接下來的治療方向便需要同時考量患者的意願,再進一步規劃最適合的治療方式。
Fortunately, Ms. Huang’s open bite was not severe and had not yet affected functional performance such as chewing. Under these circumstances, the next steps required balancing the patient's wishes with the most suitable treatment plan.
李醫師在與黃小姐深入討論後了解到,她並不追求完美整齊的齒列,也不希望投入時間與心力進行漫長的矯正療程。對她而言,笑容最大的困擾其實在於牙齒的顏色與表面質感,因此希望李醫師能針對這個方向擬定治療計畫。
After in-depth discussions, Dr. Li learned that Ms. Huang was not seeking a perfectly aligned set of teeth, nor did she want to invest the time and effort into a lengthy orthodontic process. For her, the biggest issue was the color and surface texture; therefore, she hoped Dr. Li could formulate a plan specifically targeting those concerns.
在充分理解患者的想法與期待後,李醫師並沒有強行建議其他療程,而是尊重患者、不過度治療,將治療目標定調在「自然遮色與質感提升」。同時透過 DSD 數位微笑設計系統模擬最終的牙齒型態與齒色,讓黃小姐在治療前就能清楚預覽未來笑容的樣貌,也能確認這樣的結果是否符合她心中的期待。
Having fully understood the patient's expectations, Dr. Li did not push for unnecessary procedures. Instead, she respected the patient’s wishes, avoided over-treatment, and set the goal to "natural masking and texture enhancement." Using the Digital Smile Design (DSD) system, they simulated the final tooth shape and color, allowing Ms. Huang to clearly preview her future smile and confirm it met her expectations before starting.
女醫師的美學直覺|瓷牙貼片追求自然質感,而非誇張亮白
Aesthetic Philosophy | Natural Beauty Over Artificial Brightness


身為女性醫師,李醫師特別擅長透過瓷牙貼片設計整體笑容,讓牙齒與臉部氣質、整體形象達到和諧的平衡。尤其在女性美學的細節拿捏上,更能展現自然且細膩的質感。
As a female dentist, Dr. Li is particularly skilled at designing smiles through porcelain veneers that achieve a harmonious balance between the teeth, facial features, and overall image. Her grasp of aesthetic details allows her to produce a natural and delicate texture.
一直以來,李醫師在美學治療上的方向,都以「自然、有質感」為主要目標,而不是過度追求亮白或誇張的效果,這也正是黃小姐此次治療一再強調的訴求。
Dr. Li’s approach to aesthetic treatment has always prioritized a "natural, high-quality" look over excessively bright or exaggerated results—which happened to be exactly what Ms. Huang requested for her treatment.
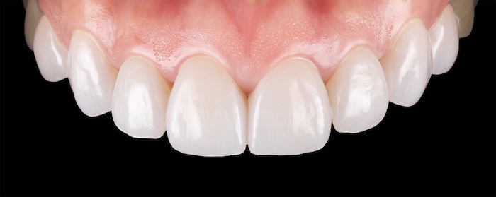
針對黃小姐的四環黴素染色問題,李醫師選擇了全鋯材質的貼片。由於全鋯材質具有良好的遮色能力,更能有效處理四環黴素所造成的深層染色。
To address the tetracycline staining, Dr. Li chose zirconia veneers. Because zirconia has excellent masking capabilities, it is more effective at covering the deep discoloration caused by tetracycline.
然而,在色階的選擇上,李醫師仍採用了較為透亮的設計,使牙齒最終呈現的色澤不會顯得過於死白或不自然,也能與膚色自然協調。透過適度的光線穿透,讓牙齒在不同光線下依然能呈現柔和而自然的光澤。
However, in terms of shade selection, Dr. Li still opted for a more translucent design. This ensured the final color would not look unnaturally "stark white" and would harmonize with the patient's skin tone. By allowing for moderate light penetration, the teeth maintain a soft, natural luster under different lighting conditions.
瓷牙貼片設計溝通|DSD 模擬未來笑容,臨時貼片提前試戴
Design Communication | Smile Simulation and Temporary Veneers





在整個治療過程中,如何同時兼顧良好的遮色能力,又保有牙齒的透亮度與透光度,並維持自然的光澤,其實相當考驗醫師的專業實力與溝通的精準度。
Throughout the treatment, balancing effective masking with the preservation of tooth translucency and natural luster was a true test of the doctor's professional skill and communication precision.


因此,在每一個治療環節中,李醫師都會透過 DSD 數位微笑設計系統與患者反覆溝通與確認,確保設計方向能真正符合黃小姐的期待。
Consequently, at every stage, Dr. Li used the DSD system to repeatedly communicate and confirm details with the patient, ensuring the design direction truly aligned with Ms. Huang’s expectations.
同時,也透過臨時貼片進行實際模擬配戴,讓黃小姐能提前感受這樣的齒色、形態與咬合狀態,是否符合她日常生活的需求,以及對笑容美學的想像。
At the same time, temporary veneers were used for a trial fit. This allowed Ms. Huang to experience the color, shape, and bite in advance, ensuring they met her daily needs and her vision for a beautiful smile.
此外,為了讓設計能準確轉化為最終成品,蒔美的數位牙體技術師也會在過程中共同參與討論,與黃小姐現場溝通色澤與形態的選擇。透過面對面的比色與形態配對,即時調整細節,避免在多次轉達的過程中產生誤差。
Furthermore, to ensure the design translated accurately into the final product, Smile Dental’s digital dental technicians participated in the discussions. They communicated directly with Ms. Huang regarding shade and shape selection, performing face-to-face color matching to adjust details instantly and avoid errors often caused by indirect communication.
瓷牙貼片動態美學|讓笑容在每個表情中都自然
Dynamic Smile Aesthetics
談起整個治療過程,李醫師也提到,黃小姐對自己想要的笑容其實相當清楚。她希望的並不是明星般冷白、過於亮眼的齒色,而是像天生健康牙齒那樣乾淨、自然的亮度。
Reflecting on the process, Dr. Li mentioned that Ms. Huang was very clear about what she wanted. She didn't desire a "Hollywood white" or overly bright shade, but rather the clean, natural brightness of healthy, natural teeth.

不過李醫師也表示,
真正自然的笑容,
其實不只取決於牙齒的顏色與形態,
更與整體臉部比例以及笑容的動態表現密切相關。
因此,在蒔美的治療規劃中,
也會進一步納入「動態笑容」的分析。
However, Dr. Li also noted that a truly natural smile depends on more than just the color and shape of the teeth; it is closely related to overall facial proportions and "dynamic expression." Therefore, Smile Dental’s planning included a "dynamic smile" analysis.


人與人互動時呈現的笑容,並不是一個靜止的畫面,而是一連串動態的表情變化。因此,蒔美透過臉掃設備分析臉部比例與細節,同時結合動態影像紀錄,進行動態微笑的評估。
The smile people see during interaction is not a static image, but a series of dynamic facial changes. Using facial scanning equipment, the clinic analyzed facial proportions and details, combining this with motion video recording to evaluate the smile in motion.
在這個過程中,不僅會觀察齒色在不同光線下的反射效果,也會考量笑肌的運作方式,以及在不同笑容曲線下,無論是開懷大笑、自然微笑,或是含蓄的笑容,是否都能呈現出黃小姐所期待的自然狀態。
During this process, they not only observed how the tooth color reflected light but also considered the movement of the zygomatic (smiling) muscles. This ensured that whether she was laughing heartily, smiling naturally, or offering a subtle grin, her smile would always appear as natural as she hoped.
瓷牙貼片,讓笑容成為最自在的表情
Porcelain Veneers | A Smile You Can Wear Naturally


隨著瓷牙貼片治療完成,黃小姐整個人也由外而內產生了明顯的改變。最近幾次回診時可以感受到,她變得比以前更加開朗,從過去總是遮遮掩掩,到現在能自在地展露自己的笑容。
With the completion of the porcelain veneer treatment, Ms. Huang underwent a noticeable transformation from the inside out. During recent follow-up visits, it was clear she had become much more cheerful—moving from a past of hiding her teeth to now showing her smile with ease.
她分享,從小就因為牙齒顏色而感到自卑。能不大聲說話就不大聲說話,能不笑就盡量不笑,總是想盡辦法遮掩牙齒的缺陷。
She shared that she had felt insecure about her tooth color since childhood. She used to avoid speaking loudly and tried not to smile, always finding ways to hide the perceived flaws in her teeth.
她從來沒有想過,有一天自己也能像其他人一樣,擁有一口健康、潔白而自然的牙齒。
She never imagined that one day she could have a healthy, white, and natural-looking set of teeth just like anyone else.
而李醫師的設計也讓她感到非常滿意。自然柔和的質感與她的氣質相得益彰,讓笑容不再需要被隱藏,而是成為她最自在、也最自信的表情。
She was extremely satisfied with Dr. Li’s design. The natural, soft texture complemented her temperament perfectly, ensuring that her smile no longer needed to be hidden, but could instead become her most natural and confident expression.







































