

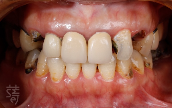
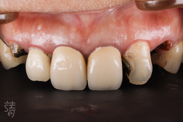
像許多曾被看牙經驗嚇到的病患一樣,陳太太長年對牙科懷有深深恐懼。牙齒出問題時,她總是一拖再拖,直到疼痛難忍才走進診間。當她來到蒔美牙醫諮詢全口植牙重建時,口腔狀況已相當複雜:多顆缺牙、大範圍蛀牙、根尖發炎、牙齒斷裂與舊假牙不密合,疼痛成了生活的一部分,吃飯也變得困難。更讓她難受的是笑容的流失,不再敢自在開口說話。
Like many patients who have been traumatized by dental experiences, Mrs. Chen had lived with a deep fear of the dentist for years. Every time a tooth caused pain, she would put off treatment until it became unbearable. When she finally came to Smile Dental for a consultation about full-mouth reconstruction, her oral condition was quite complex: multiple missing teeth, widespread cavities, root inflammation, fractured teeth, and ill-fitting old crowns. Pain had become a daily burden, and eating was a constant struggle. Even more disheartening, she had lost the confidence to smile freely or speak without hesitation.
全口植牙重建初次諮詢:恐懼中建立信任
First Consultation:Building Trust Amid Fear

初次諮詢時,陳太太仍緊張不安,害怕再次經歷疼痛,也擔心療程漫長。幸好,蒔美士卓曼植牙部主任紀皓雲醫師對牙科恐懼症患者有多年經驗。
During her initial consultation, Mrs. Chen was understandably anxious. She feared the pain and the lengthy treatment process. Fortunately, Dr. Hao-Yun Ji, director of Smie’s Straumann Implant Department, has extensive experience treating patients with dental phobias.

紀醫師不僅採取輕柔治療,整合複雜療程於舒眠鎮靜中,也特別關注患者心理。他以穩定且技巧性的方式引導陳太太慢慢放鬆,讓她逐漸建立信任。
Dr. Ji not only uses gentle techniques, integrating complex procedures under painless sedation, but also prioritizes patients’ mental comfort. He guided Mrs. Chen patiently, helping her relax step by step.
All-on-4 還是全口植牙重建?專業評估的重要性
All-on-4 or Full-Mouth Reconstruction? How Professionals Decide

原本陳太太是為了解 All-on-4 全口速定植牙而來,但紀醫師評估後發現,她仍有多顆牙齒可保留。
Mrs. Chen initially came to learn about All-on-4 implants, but after a thorough assessment, Dr. Ji found that several of her teeth could still be preserved with proper treatment.
在蒔美,醫師堅持一個原則:真牙最珍貴,能保留就盡力挽救。
All-on-4 適用於全口僅剩少數牙齒、骨質條件不足或難以補骨的患者;而像陳太太這樣仍具保留條件者,更適合採取全口植牙重建,在兼顧功能與美觀的同時,也利於長期維持口腔健康與穩定。
At Smile, the guiding principle is clear: natural teeth are invaluable, and every effort is made to save them whenever possible.
All-on-4 is generally suited for patients with only a few remaining teeth, insufficient bone, or limited options for grafting. For someone like Mrs. Chen, with teeth that could still be preserved, full-mouth reconstruction offers a better balance of function, aesthetics, and long-term oral stability.
什麼是全口植牙重建?功能與美觀的全面修復
What Is Full-Mouth Reconstruction? Comprehensive Restoration of Function and Aesthetics



紀醫師進一步說明,全口植牙重建不是每顆牙都要植牙,而是一場全面修復計畫。就像替舊屋整修:嚴重受損需拆除重建,輕中度受損則透過修復加以補強。
To help Mrs. Chen understand her treatment options, Dr. Ji explained that full-mouth reconstruction does not mean every tooth must be replaced. Instead, it is a comprehensive plan—like renovating an old house. Severely damaged teeth that cannot be saved are removed and rebuilt, while mildly or moderately affected teeth are preserved and reinforced.
整合根管治療、植牙與假牙重建,能恢復咀嚼功能與美觀,同時延長整體牙齒使用壽命。
By integrating root canal therapy, implants, and prosthetic restorations, patients regain chewing function and aesthetic appearance, while extending the overall lifespan of their teeth.
全口植牙重建開始前:先慢下來,讓信任發生
Before Full-Mouth Reconstruction: Slowing Down to Build Trust

詳細說明讓陳太太理解,重建並非想像中可怕,只要規劃得宜,可循序漸進完成。面對多年恐懼,她仍猶豫。
紀醫師以溫和節奏引導,留給她充分時間與家人商量。幾次回診與討論後,她終於放下顧慮,決定給自己一次重拾笑容的機會。
Dr. Ji’s detailed explanations gradually helped Mrs. Chen understand that reconstruction was not as intimidating as she feared. With careful planning, the process could be completed step by step. Yet, years of dental anxiety left her hesitant.
Rather than rushing, Dr. Ji guided discussions at a gentle pace, allowing her time to consider and consult her family. After several visits and repeated conversations, Mrs. Chen finally overcame her reservations and chose to give herself the chance to smile again.
分階段治療,讓全口重建更紮實
Phased Treatment: Ensuring a Solid and Stable Full-Mouth Reconstruction
陳太太的口腔問題多重且互相影響,紀醫師採取「先穩定環境、再全面重建」策略,分區塊、分階段逐步進行。此方式不僅有效控制風險,也讓癒合更穩定,減輕病患身心壓力,也是讓整體重建更有節奏,並達到最高品質的方式。
Because Mrs. Chen’s oral issues were multiple and interrelated, Dr. Ji adopted a “stabilize first, rebuild later” strategy, working in segments and phases. This approach not only controls risk effectively, but also ensures each stage heals reliably, reducing physical and mental stress, and giving the entire reconstruction a steady, high-quality rhythm.
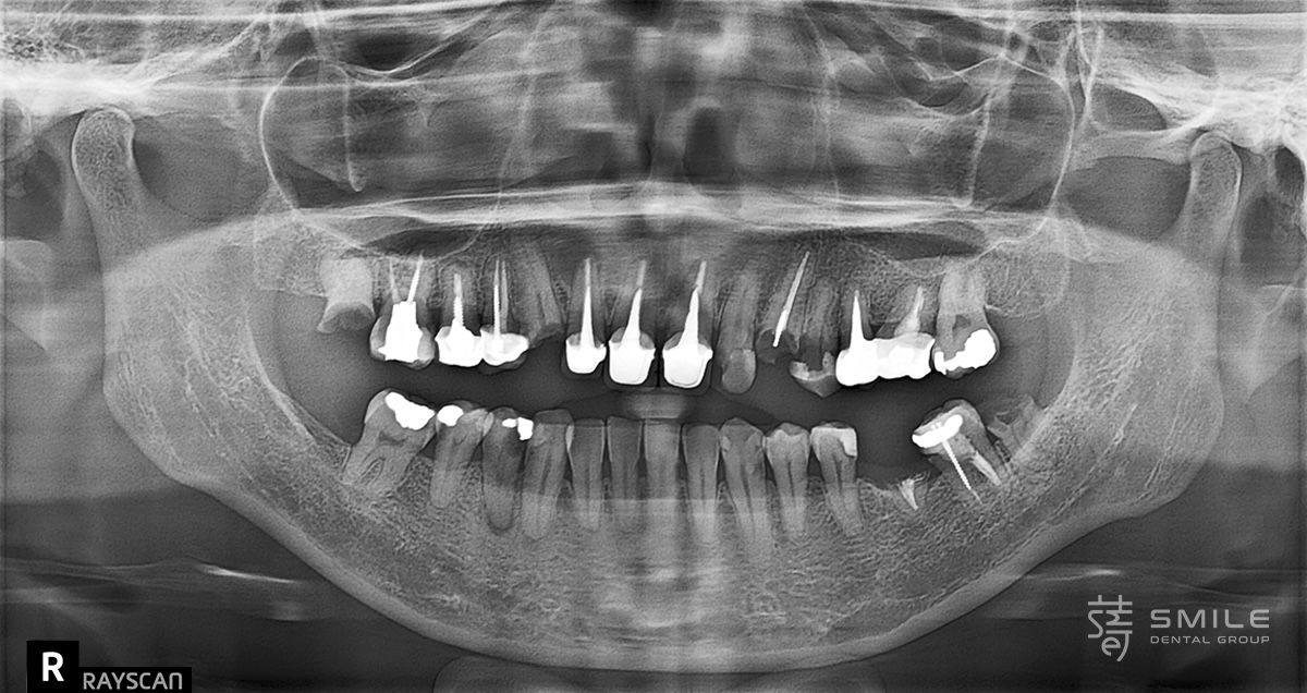
第一階段 處理感染,打好重建基礎
Stage One: Clearing infection and laying the foundation


多顆牙齒因蛀蝕或牙根斷裂無法保留,先拔除並補骨,等待新骨生成;上顎後牙區進行上顎竇增高手術,增加骨高度。
可保留牙齒完成根管治療與牙套重做,密合不良的假牙亦更換,避免牙齦長期發炎。這一階段重點是徹底清除感染、建立穩固基礎,為後續重建鋪路。
Several teeth were too damaged or fractured to save, so they were extracted, and bone grafting was done to encourage new bone growth. In the upper molar area, a sinus lift was performed to increase bone height.
Teeth that could be preserved underwent root canal treatments and new crowns were fitted, while poorly sealed prosthetics were replaced to prevent chronic gum inflammation. This stage focused on eliminating infection and establishing a solid base for future reconstruction.
第二階段 舒眠鎮靜治療,零壓力重建
Stage Two: Sedation for stress-free reconstruction



考量陳太太長期看牙恐懼,紀醫師安排舒眠鎮靜下,集中完成複雜治療。在無痛狀態下處理前牙壞牙與補骨,依骨頭與牙齦條件規劃植牙方案。 部分區域採用「即拔即植」,拔除後立即植入植體,縮短療程、減少手術不適,讓治療更順暢。
Given Mrs. Chen’s long-standing dental anxiety, Dr. Chi arranged for treatment under conscious sedation, allowing multiple complex procedures to be completed at once without pain. Decayed front teeth were treated, bone grafts placed, and implant planning customized according to bone and gum conditions.
In some areas, “immediate implant placement” was used—placing the implant right after extraction—to shorten the treatment time and reduce discomfort, making the process smoother and easier to endure.
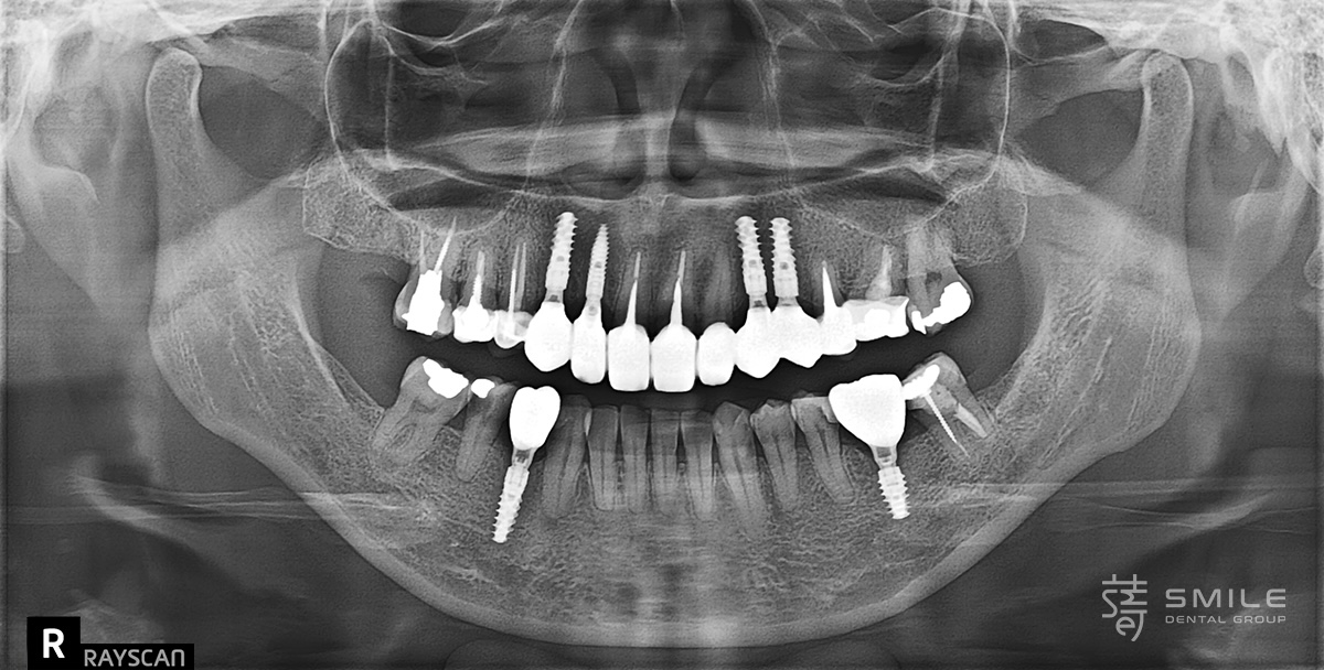
第三階段 X-Guide導航植牙,精準安全
Stage Three: Precision and safety with X-Guide navigation


此階段導入 X-Guide 藍光導航系統,結合 3D 影像即時導引,精準掌握植體深度與角度,並同步追蹤手術位置,大幅提升安全性與準確度。 對骨條件複雜、需多點植牙的患者尤其重要。
For the implant placement, the X-Guide dynamic navigation system was introduced. Combining 3D imaging with real-time tracking, it allowed precise control over implant depth and angle while continuously monitoring surgical position.
This level of precision is particularly vital for patients with complex bone structures or those requiring multiple implants, ensuring a safer and more predictable outcome.
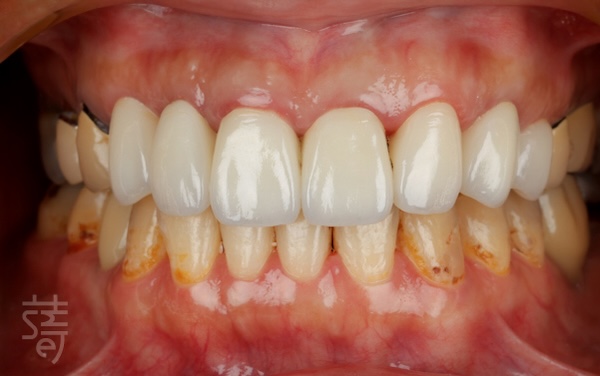
第四階段 全瓷美學,重現自然笑容
Stage Four: All-ceramic artistry — restoring a natural smile
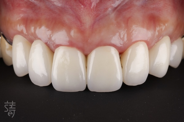
植牙完成後,臨時假牙逐步更換為全瓷牙套。
紀醫師與蒔美數位牙技中心協作,精準微調牙色、形態與笑容曲線。全瓷材質呈現真牙般透明感與光澤,燈光下依舊自然。
每個階段間保留足夠癒合與觀察時間,骨與牙齦穩定生長。最終完成的全瓷牙冠在外觀與功能上達到完美平衡,笑容柔和流暢,自然、自信重現。
After the implants healed, temporary restorations were gradually replaced with custom all-ceramic crowns.
Working closely with the Smile Digital Dental Center, Dr. Chi fine-tuned each detail—from tooth shade to contour and smile line. The all-ceramic material reflected light like natural enamel, giving the teeth a lifelike translucency under any lighting.
Each stage allowed ample time for healing and adjustment, ensuring the bone and gums integrated stably. The final result achieved a seamless harmony between aesthetics and function—a soft, confident smile that felt entirely her own.
美觀臨時假牙:陪伴每個階段
Temporary Esthetic Dentures: Supporting Every Stage of Full-Mouth Reconstruction

植牙期間,蒔美設計美觀臨時假牙,讓療程中不需經歷「空窗期」。 臨時假牙保持自然外觀,也能順暢進食與說話。隨著骨頭癒合與咬合穩定,醫師微調假牙位置與高度,確保正式假牙完成時,功能與美觀達到理想平衡。
During the full-mouth implant process, Smile provides patients with temporary esthetic dentures, ensuring there’s no “gap” in appearance or function.These temporary dentures maintain a natural look while allowing patients to eat and speak comfortably.As the bone heals and bite stabilizes, doctors make fine adjustments to ensure the final permanent teeth achieve both optimal function and aesthetics.
瑞士頂級植體,締造長久穩定笑容
Swiss Premium Implants: Crafting a Lasting, Stable Smile


紀醫師為陳太太選用 Straumann® 士卓曼植體,結合 Roxolid® 高強度材質與 SLActive® 親水表面技術,加速骨整合、縮短癒合期,降低植體周圍炎風險。
此技術相當適用於即拔即植、大範圍重建等複雜手術,是追求長期穩定與自然美觀的首選。
Dr. Ji selected premium Swiss Straumann® implants for Mrs. Chen, renowned for their exceptional stability and long-term durability.
The implants use Roxolid® high-strength alloy, providing robust support even with limited bone, and feature SLActive® hydrophilic surfaces that speed up bone integration, shorten healing time, and reduce Peri-implantitis risk.
This technology is especially suited for immediate placement or extensive full-mouth reconstruction, ensuring long-lasting stability and natural aesthetics.
久違了!全口植牙重建讓笑容與生活回歸
A Long-Awaited Return: Full-Mouth Reconstruction Restores Smile and Life


重建前,陳太太吃東西總覺得不舒服,笑起來也好尷尬。聚餐時,她不自覺縮小笑容,生怕牙齒鬆動或咬不斷食物。
In the past, Mrs. Chen struggled to eat comfortably, and her smile felt awkward. At gatherings, she would hold back, worried her teeth might feel loose or fail to bite through food.
如今,完整的全口植牙重建讓她能大口咀嚼喜愛食物,也能毫不顧忌地開懷大笑。「現在感覺就像自己的牙齒,非常自在。」她笑著分享。
Now, with full-mouth implants, she can enjoy her favorite foods and laugh freely. “It feels just like my own teeth—so natural,” she shares.

從舒眠治療、導航植牙、即拔即植,到全瓷美學修復,每一步都由醫師團隊細心規劃。這不只是牙齒的重建,更是生活品質的回歸:重新擁有自信笑容、自在進食,找回健康與從容日常。
From sedation and guided implant placement to immediate implants and full-ceramic restoration, every step was carefully planned. This reconstruction isn’t just about teeth—it’s a return to quality of life: confident smiles, comfortable eating, and reclaiming her sense of ease and well-being.






































