



「以前覺得牙齒掉光是自然現象,就算了。」半退休的黃爸爸,靠木工、水電維生,手腳俐落卻忽略口腔健康。
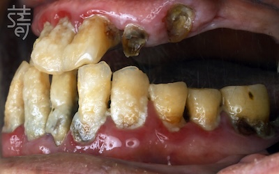
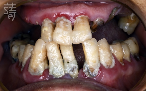
上顎牙齒逐一脫落,他也不以為意,反正茹素、對許多食物過敏,煮軟就能吞。
直到有天連豆腐、燉菜吃得都痛,他才意識到問題嚴重,這場疼痛也成了他走向 All-on-5顴骨植牙重建的開端。
“I used to think losing all my teeth was just a part of getting old—something you accept,” said Mr. Huang, a semi-retired handyman who had spent his life working with wood and wiring but had long ignored his oral health. One by one, his upper teeth fell out. He paid little attention; after all, he was a vegetarian, allergic to many foods, and could manage by cooking things soft enough to swallow. But when even tofu and stewed vegetables became painful to eat, he realized something was seriously wrong. That pain marked the beginning of his journey toward All-on-5 zygomatic implant reconstruction.
多家診所拒絕,他靠蒔美 All-on-5 顴骨植牙找到希望
Turned Away Elsewhere, He Found Hope in Smile’s All-on-5 Approach



一開始,女兒替黃爸爸搜尋「水雷射牙周治療」,以為治好牙周病就能保住牙齒;
但檢查發現,上顎僅剩的牙幾乎都是爛牙根,若採傳統方式不僅曠日費時,費用也十分高昂,讓他心生退意。
At first, his daughter searched for “laser periodontal therapy,” thinking that treating gum disease might save his teeth. But the exam showed that nearly all his upper teeth were nothing more than decayed roots. Traditional treatment would have been long, invasive, and prohibitively expensive.

之後女兒找到 All-on-4 技術,卻因上顎骨幾乎完全流失,屢屢遭診所婉拒。
直到遇見蒔美牙醫錢世康醫師,提出 All-on-5 結合顴骨植體的方案,黃爸爸才終於看見重建的希望。
Later, she discovered the All-on-4 technique, but with his near-total loss of upper jawbone, clinic after clinic turned them away. Only when they met Dr. Shih-Kang Chien at Smile Dental Group—who proposed an All-on-5 plan reinforced with zygomatic implants—did real hope emerge.
為什麼是 All-on-5?
專科醫師揭開穩固關鍵
Why All-on-5?
The Specialist Explains the Key to Stability
錢醫師解釋,之所以選擇 All-on-5,
而不是大家熟悉的 All-on-4,
是因為植體數量必須依患者條件決定。
「全口速定植牙需承載 12 顆假牙,
受力必須分配平均,植牙才用得長久。
若骨條件佳,四支植體或許足以支撐;
但若骨頭較薄或條件不足,
就需增加植體數量來分攤壓力,
降低後續風險。」
像黃爸爸這樣的嚴重骨質流失,不僅需要五支,
更得藉助顴骨植體來強化支撐,
才能確保長久穩固。
Dr. Chien explained that the choice of All-on-5, instead of the more familiar All-on-4, was driven by his condition.
“A full-arch restoration supports 12 teeth. To last, the bite force must be evenly distributed. With strong bone, four implants might suffice. But if the bone is thin or compromised, additional implants are necessary to share the load and reduce risks.”
In Mr. Huang’s case of severe bone loss, five implants—and critically, zygomatic implants—were required to ensure long-term stability.


顴骨植牙:專為嚴重缺骨而生的終極技術
Zygomatic Implants: A Last Resort for Severe Bone Loss


錢醫師進一步說明,這正是顴骨植體發揮關鍵作用的原因。
黃爸爸能順利完成重建,靠的就是其中兩根顴骨植體。
此技術專為嚴重缺骨患者設計,特別適合上顎骨幾乎全數流失、傳統方式已無法重建的情況。
顴骨位於眼眶下方外側,骨質緻密且穩定,不易隨時間吸收。
This is where zygomatic implants play a decisive role. Designed specifically for patients with extreme bone loss, They anchor into the dense cheekbone located on the outer side just beneath the eye socket—a bone that remains stable and resists resorption over time.


即便上顎骨基底幾乎完全流失,將植體直接固定於強壯的顴骨,仍能建立牢固的支撐。
不僅穩固,還能免去大範圍補骨與漫長等待,為重建帶來突破性的解方。
Even when the upper jawbone is almost completely gone, zygomatic implants can provide the firm foundation needed, eliminating the need for extensive bone grafting and long recovery delays. For Mr. Huang, two zygomatic implants made his reconstruction possible.
專科醫師精準執行,守護高難度顴骨植牙
High-Stakes Surgery Demands Specialist Precision

不過,顴骨植牙屬於技術門檻極高的手術,植體需穿越萎縮的上顎骨,固定在堅硬的顴骨。
長達 30~52mm 的植體比傳統更長,雖然支撐力更強,但對醫師操作的精準度要求極高。
Zygomatic implants are considered one of the most technically demanding procedures in implant dentistry. The implant, often measuring 30 to 52 mm, must traverse the resorbed maxillary bone and anchor securely into the dense zygomatic bone. While this provides strong and stable support, it also requires an exceptional level of surgical precision and anatomical understanding.


因此蒔美由口腔顎面外科專科醫師錢世康親自執刀,口外專科是牙科中處理複雜手術的權威領域,
經過多年住院經驗、技術的累積及培養、不斷地進修最新理論、技術,
對顎骨與顏面部解剖有深厚掌握,而顴骨植牙更是錢醫師多年臨床中最擅長的專業之一。
At Shimei Dental Group, the procedure is performed by Dr. Shih-Kang Chien, an oral and maxillofacial surgeon, a specialty known for managing complex surgical cases involving the jaw and facial structures. With extensive hospital training, years of clinical experience, and continuous education in the latest surgical techniques, Dr. Chien has developed a deep understanding of maxillofacial anatomy. Zygomatic implant surgery has become one of his key areas of expertise in clinical practice.
嚴謹規劃+藍光導航,打造極致安全

不同於一般診所僅拍攝局部影像,蒔美採用高階全頭顱 CT 掃描,
完整呈現從頭頂到下巴的顏面立體結構,確保醫師能精準避開所有風險區域。
手術更在國內少見的無菌正壓手術室進行,將感染風險降到最低。
Unlike most clinics that take only partial scans, Smile Dental Group used full craniofacial CT imaging, mapping every detail from crown to chin to avoid risk zones. The surgery was carried out in a rare positive-pressure sterile operating room, minimizing infection risk.


同時,蒔美引進國際頂尖的 X-Guide 藍光導航系統,能即時追蹤鑽針與植體位置,確保落點毫釐不差,並縮小傷口、降低不適。
並與訢辰麻醉鎮靜專科團隊合作,為全台少數專注於牙科舒眠鎮靜的頂尖先驅,
全程嚴密監控,讓患者在舒適、高度安全的狀態下完成療程。
這樣「規劃 × 技術 × 團隊」的黃金組合,是蒔美引以為傲的獨家優勢。
Real-time X-Guide navigation tracked each drill and implant to within fractions of a millimeter, reducing incision size and discomfort. A specialized anesthesia team provided continuous sedation monitoring, ensuring comfort and safety throughout. This combination of planning, technology, and teamwork is Smile Dental Group’s defining strength.
All-on-5顴骨植牙一日完成重建,當天恢復咀嚼
One-Day All-on-5: Eating Again by Evening


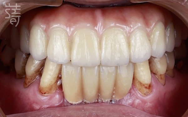
黃爸爸上午完成植牙,下午便裝上臨時假牙,傍晚返家即可進食。
這份精準與高效率,來自蒔美院內專屬數位牙體技術中心,由資深贗復醫師與數位牙體技術師合作,結合高階數位設備,
術前即依臉型與咬合設計兼具美觀與功能的高仿真假牙,手術當日團隊現場待命,術後細緻微調,讓患者順利帶著美觀舒適的新牙回家。
By morning, Mr. Huang received his implants; by afternoon, provisional teeth; by evening, he was eating at home. This efficiency was made possible by Smile’s in-house digital prosthetics center, where prosthodontists and technicians used advanced tools to pre-design functional, aesthetic teeth. On surgery day, the team stood by for final adjustments, ensuring he left not only with stability but also with a natural-looking smile.
高壓氧加速 All-on-5 復原,舒適度超乎想像
Hyperbaric Oxygen Speeds Recovery, Comfort Beyond Expectation

手術雖順利完成,但蒔美的用心並不止於此。
為了讓患者恢復得更快、更舒適,蒔美獨家引進栗田溫和高壓氧系統,在術後即刻啟動療程,幫助減輕腫脹與不適,加速傷口癒合,並促進組織修復。
原本最怕痛的黃爸爸,沒想到這樣細緻的照護,讓復原過程幾乎不覺疼痛。他笑著分享:「恢復速度真的超乎想像!」對他而言,蒔美不只是完成了一場手術,而是打造了一段安全、安心又舒適的療程體驗。
Even after a smooth procedure, Smile’s care continued. To accelerate healing, they introduced a gentle hyperbaric oxygen system immediately after surgery—reducing swelling, easing discomfort, and promoting tissue repair. For a man who dreaded pain, the nearly painless recovery was astonishing. “The speed of recovery exceeded all expectations,” Mr. Huang said with a smile. For him, Smile Dental Group delivered not just a surgery, but a safe, reassuring, and surprisingly comfortable experience.
蒔美All-on-5 超越耐用,更締造極致美學
Beyond Function: Smile’s All-on-5 as a Work of Aesthetics

許多人以為 All-on-5 只是一場功能性的重建,
但All-on-5也可以是美學實踐。
在蒔美,我們更進一步放眼笑容的美學價值。
Many think of All-on-5 purely as functional reconstruction. At Smile, it is also an act of aesthetics.
透過DSD微笑設計與Rayface臉部掃描,
蒔美精細描繪出最自然和諧的微笑曲線,
讓修復不僅實用,更能展現個人特質。
不同於傳統一體成型假牙,搭配全瓷獨立牙橋,
日後若需維修或局部更換更加便利,
確保笑容在舒適與美觀之間持續長久。
Through DSD smile design and Rayface facial scanning, the clinic crafted a smile line that looked natural and harmonious, tailored to his features. Instead of monolithic dentures, they used individual porcelain bridges, which can be easily repaired or replaced over time—ensuring beauty and practicality endure together.
蒔美 X 全球頂尖植體,守護一生的安心笑容
Smile Dental Group × World-Class Implants: A Lifetime of Confidence

這次重建,上顎 All-on-5採用享譽全球、臨床表現卓越的諾保科Nobel Biocare植體,下顎缺牙部位則選用精密穩定、以創新聞名的士卓曼Straumann植體。
這兩大國際頂尖品牌,
長年在全球臨床驗證中,
以高強度與長期穩定性深受頂尖醫師一致肯定。
Smile Dental Group used Nobel Biocare implants—renowned worldwide for clinical excellence—for the upper jaw, and Straumann implants—celebrated for precision and durability—for the lower.
These two leading global brands have been consistently validated through years of clinical use worldwide, earning the confidence of top clinicians for their strength and long-term stability.


然而,並非所有診所都能同時運用這兩大國際大廠的高階系列植體。蒔美不僅具備專業技術,更堅持只為病患選用國際高品質植體,並提供原廠全球終身保固。這意味著,無論時間多久、無論身在何處,患者都能享有與世界同步的安心保障。
蒔美在乎的不只是手術當下的成功,更重視長遠的承諾,一份能陪伴一生的笑容保障。
These two global leaders, trusted by specialists across continents, are not available everywhere. Smile Dental Group insists on using only the highest-quality, internationally recognized implants, all backed by a lifetime global warranty. No matter where life takes the patient, the promise of safety and assurance remains.










































