40多歲的張小姐,多年來飽受牙齒問題困擾,剛做好的假牙或植牙,用沒多久就壞;年年跑診所修補,身心俱疲,卻始終找不到根本解方。




住在苗栗的她,曾特地往返台中、中和等地求醫,問題卻仍反覆上演。直到來到蒔美牙醫,才終於找出關鍵:原來,一切都與「咬合關係」有關....
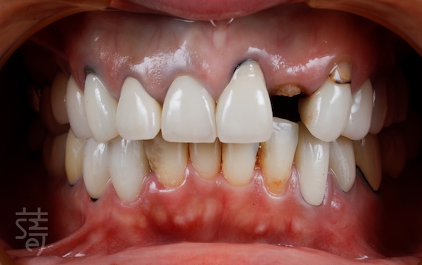
沿用錯誤咬合,牙齒愈治愈糟
在江政倫院長的診斷下,張小姐的問題終於明朗。她早年缺牙未及時處理,對咬的牙齒慢慢「變長」,導致整體咬合面紊亂。
過去的治療多半只針對單顆牙問題,未從整體咬合角度評估,甚至直接在錯誤的咬合基礎上植牙,造成牙齒彼此干擾,問題當然接連出現。

更麻煩的是,前牙與後牙之間本有保護機制。當後牙支撐不穩,受力會轉移到前牙,久而久之,連前牙也磨損壞裂,全口出狀況。

江院長指出:「如果照著錯誤咬合重建,就像修一棟結構不穩的老房子。沒有重新設計受力的樑柱,修得再多也只是暫時堪用,房子終究還是會再出問題。」




動態咬合分析,從根本解決問題
正式修復前,蒔美團隊先為張小姐安排完整咬合分析。不再只是「哪裡壞就補哪」,而是透過多項數位設備,全面評估牙齒的高度、角度、排列與咬合動態。
其中,MODJAW 動態咬合系統是這次重建的關鍵。它能即時模擬說話、咀嚼時下顎的真實運動,精準掌握每顆牙齒在動態中的接觸點與受力狀況。
江院長說:「傳統治療看的是靜止狀態,但人真正用牙,是在動的時候。忽略這一點,就很容易出問題。」
MODJAW 是目前全球唯一能完整模擬下顎動態的系統,讓治療規劃更貼近真實需求,也讓重建後的假牙、植牙或貼片更穩固、耐用。


微笑設計升級:不只牙齒,更考量整張臉
張小姐身為房仲業務,很清楚一個溫暖、親切的笑容,往往能拉近與客戶的距離。這次重建,她也特別重視笑容的整體協調感。
蒔美透過 DSD 數位微笑設計,結合臉部掃描、3D 建模與動態攝影,不只設計牙齒,更納入五官比例、唇形弧度與微笑時的臉部肌肉變化。
在這樣的精細設計下,她的笑容不再只是整齊白牙,而是自然融入整張臉,表情看起來更和諧、有精神,說話時也更自在了。



找到對的方法,才能真正安心用一輩子
像張小姐這樣的患者,其實並不少見。明明積極看診、配合治療,甚至看了幾十年、跑遍各大牙科診所,牙齒的問題卻總是一再重演。有人懷疑是自己牙齒特別脆弱,有人歸咎於飲食習慣,但其實是「咬合關係」這個關鍵環節,在過往的治療中從未真正被納入考量。

如今的她,終於走出那段反覆修補、時時擔心牙齒又壞的循環。終於能安心過日子、自在微笑。而你,也可以用正確的方式重新出發,開啟屬於自己的美好篇章。














































