

今年 61 歲的莫教授,在醒吾科大任教多年,性格開朗、體格健朗,是同事眼中的活力楷模。唯一讓他掛心的,是滿口問題牙。
At 61, Professor Mo is still the picture of energy on campus, a lively presence admired by colleagues and students alike. Yet for decades, one private burden shadowed his life: his teeth.

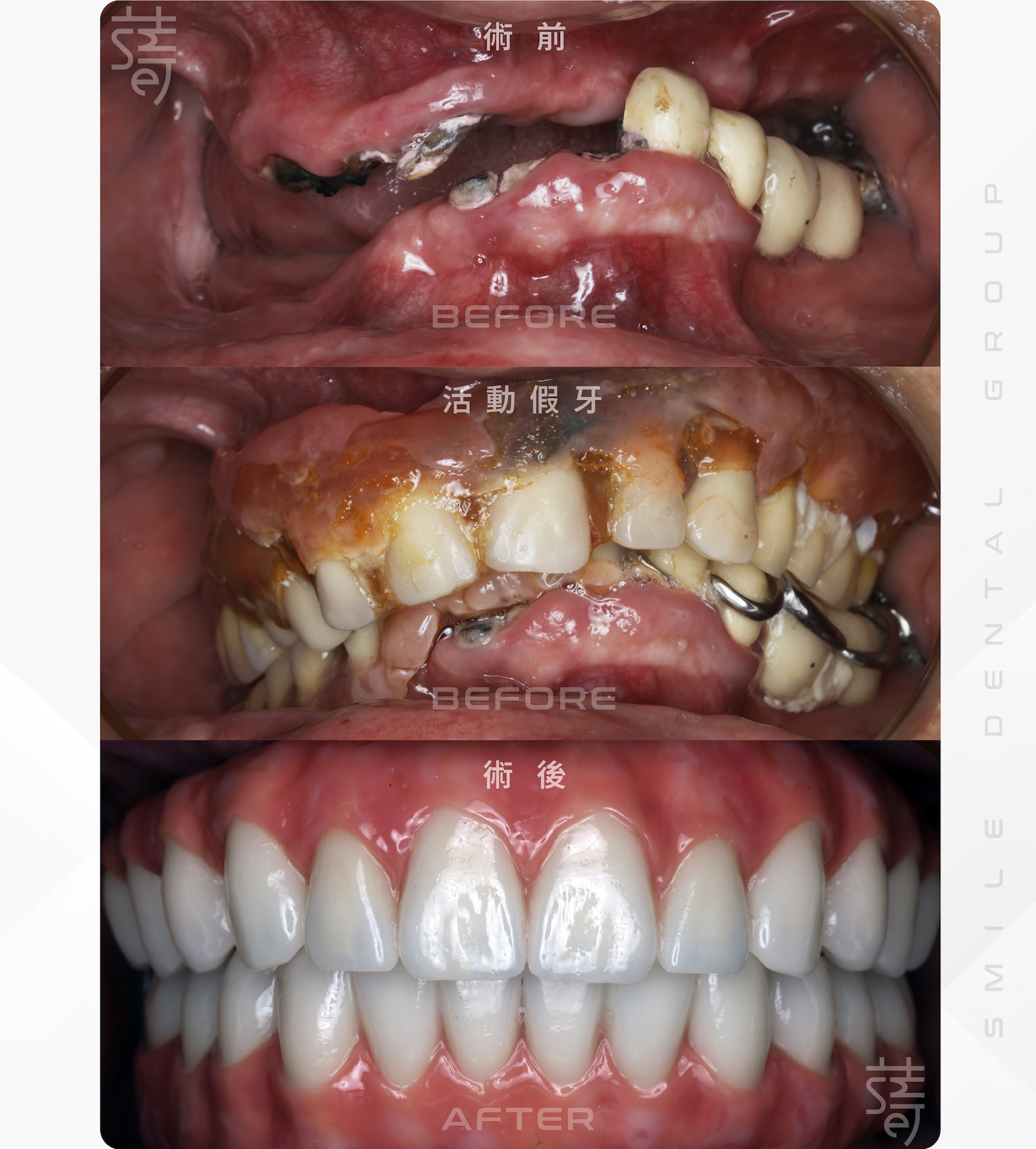
還不到 40 歲全口幾乎壞光,二十多年來只能依靠活動假牙勉強度日。假牙頂多撐一年多就得重鋪黏著劑,平時還要靠市售產品固定。最困擾的是,講課時假牙常晃動,語速一快便口水飛濺、發音漏風,授課品質大打折扣。直到僅存的牙根也開始鬆動,他才驚覺問題已到臨界點。
By his late thirties, he had lost nearly all of them, relying on dentures that never fit quite right. They slipped when he lectured, muddled his speech, and made him self-conscious in front of his students. Adhesives and constant adjustments offered only temporary relief, and eventually, even the few roots left began to fail.


明明膽識過人,但只要走進牙科診間,莫教授總會退縮。就在反覆掙扎與尋找解方的過程中,他遇見了蒔美牙醫的 All-on-4 全口重建,才真正體會:健康不必妥協,疼痛也不必忍耐,只要一次完整的重建,就能開啟截然不同的人生下半場。
Though fearless in many parts of life, the dentist’s chair always unnerved him. After years of putting it off, he finally turned to a different path: the All-on-4 full-arch restoration at Smile Dental. What he found was more than a procedure—it was the realization that health shouldn’t mean compromise. With one decisive treatment, he stepped into a new chapter, free from pain and able to face the future with confidence.
口外專科縝密評估,為 All-on-4 打造穩固起點
Precise oral surgery evaluation, a solid start for All-on-4

第一次踏進蒔美牙醫,莫教授意外感受到溫暖明亮的氛圍,在個案管理師細心引導下,逐漸放下多年看牙的緊張。
When Professor Mo arrived at Smile Dental, he was surprised by the warmth of the space and the calm guidance of a case manager—nothing like the anxious dental visits he remembered.


蒔美全口重建中心主任、口腔顎面外科專科賴泓璋醫師透過全頭顱電腦斷層與數位口掃精準評估齒槽骨與牙齦狀態,再深入了解他對咬合、外觀與生活品質的需求。
Dr. Hung-Chang Lai, head of the Full-Mouth Reconstruction Center, used craniofacial CBCT scan and a 3Shape intraoral scanner to assess his condition, then listened closely to his concerns.

若採傳統重建,療程需多年且多次補骨,恐影響教學。最終,團隊為他規劃諾保科 All-on-4,全程一天即可完成植體與假牙銜接,幾乎無縫回歸日常。
Traditional treatment would have meant years of bone grafts and delays. Instead, the team turned to Nobel Biocare’s All-on-4, restoring his teeth in a single day and allowing him to return to life without interruption.


手術當天,親切又專業的個案管理師一路陪伴,讓莫教授安心迎接治療。令人驚訝的是,手術並非在一般診間,而是在無菌正壓手術室進行,這是大型醫學中心才具備的高規格,而蒔美將此標準落實於每一台 All-on-4 手術,全程提供最高層級的安全防護。
On the day of the procedure, Professor Mo was guided every step of the way by a warm, professional care coordinator, easing years of dental anxiety. Rather than a standard treatment room, the surgery took place in a sterile, positive-pressure operating suite—the kind of facility usually reserved for major medical centers, but fully implemented for every All-on-4 procedure at the clinic.


術中由訢辰麻醉專科醫師團隊提供舒眠鎮靜,全程無痛無壓力,並同步啟用 X-Guide 藍光導航系統,精準監控鑽針角度與深度。
Sedation was handled by a specialized anesthesiology team, ensuring he experienced no pain or stress throughout. At the same time, the X-Guide system provided real-time navigation, precisely monitoring drill angle and depth.

賴泓璋醫師憑藉豐富經驗與熟練技術,結合 AI 輔助,高效且安全地完成植體精準植入,不僅降低手術風險,更為假牙的長期耐用與穩定奠定堅實基礎,真正實現從手術到長久使用的雙重保障。
With Dr. Lai’s extensive experience and skill, enhanced by AI assistance, the implants were placed efficiently and safely. This approach not only minimized surgical risks but also laid a solid foundation for the long-term durability and stability of his new teeth, offering true assurance from surgery through years of use.
數位美學與功能兼備,All-on-4 納入臉部掃描設計
All-on-4 designed with the aid of a facial scanner for optimal aesthetics and function


手術完成後,莫教授隨即被安排至專屬恢復室安心休息,而假牙專科醫師與牙體技術師也早已在旁待命。
After the surgery, Professor Mo was settled into a private recovery room, while the prosthodontist and dental technician stood ready nearby.


蒔美院內設有數位牙體技術中心,術前便以精密數位系統完成假牙設計,並在手術當天依據口腔現況細緻微調,讓他在傍晚即可戴上全口假牙,回家後便能自在開口、正常進食。
The clinic’s in-house digital dental lab had pre-designed his full set of teeth using precision digital systems, then fine-tuned them during the procedure to match his mouth perfectly. By evening, he was wearing his new teeth, able to speak and eat comfortably at home.
為確保笑容自然和諧,蒔美運用 RayFace 200 臉部掃描儀精準掌握五官比例,並於術前提供笑容預覽,讓醫師與患者充分討論理想樣貌。
To ensure a natural, harmonious smile, the team used the RayFace 200 facial scanner to map his features and preview the final look in advance.

考量長期維護,蒔美 All-on-4 採用改良式新型牙橋,可針對單顆假牙進行維修,大幅降低後續保養的時間與不便。
For long-term care, the All-on-4 employs a redesigned bridge system, allowing individual teeth to be adjusted or repaired, minimizing future maintenance.
術後悉心呵護,高壓氧加速All-on-4復原
Postoperative Care with Hyperbaric Oxygen Speeds All-on-4 Recovery
蒔美累積超過百例 All-on-4 臨床經驗,深知細緻的術後照護能讓療程更舒適順利。
With over a hundred All-on-4 cases under their belt, the team at Smile Dental knows that attentive postoperative care can make all the difference.


因此,引進國內牙科少見的栗田溫和高壓氧治療艙,協助舒緩術後腫脹與疼痛、降低發炎並加速癒合。
We have introduced a rare hyperbaric oxygen chamber, designed to ease swelling and discomfort, reduce inflammation, and accelerate healing.
手術後不久,莫教授便神采奕奕地重返課堂。這次治療不僅重建口腔健康,更讓他重新找回自信與自在,生活重新恢復從容步調。
Not long after surgery, Professor Mo was back in the classroom, full of energy. The procedure not only restored his oral health but also renewed his confidence and sense of ease, letting him return to life with calm and control.
從信任出發,蒔美 All-on-4 帶來安心與穩固
Trust First, Lasting Results with Smile Dental’s All-on-4
回顧整個歷程,莫教授最滿意的,是蒔美團隊的誠實與專業。
Looking back, what impressed Professor Mo most was the honesty and professionalism of the team at Smile Dental.



賴醫師回憶:「第一次檢查時,莫教授就說想立刻裝上固定假牙。但我坦白告訴他:你的骨頭條件有限,尤其是上顎,骨質薄弱,甚至距離鼻竇不到 3 公釐,因此當天無法立即裝上固定假牙。不過,我們會先為你製作臨時活動假牙,既能維持自然外觀,也提供基本咀嚼功能。」
Dr. Lai recalled, “During our first consultation, Professor Mo told me he wanted to have permanent teeth fitted right away. I had to be honest with him: his bone structure, especially in the upper jaw, was too weak, and the distance to the sinus was less than three millimeters. That made it impossible to place permanent teeth on the day of surgery. Instead, we prepared a temporary set of removable teeth, which would preserve a natural appearance and allow basic chewing function.”

莫教授:「起初我有些失望,但很快就佩服醫師的誠懇與周全規劃,也因此安心把全口重建交給蒔美。」
Professor Mo: "At first, I was disappointed, but I quickly came to admire his candor and careful planning, and I felt confident entrusting my full-mouth reconstruction to them."


完成 All-on-4 後,他的牙齒自然穩定,就像「長出第三副牙」。親友都說他神采奕奕,更顯年輕,也更能自在教學、出國與開會,重拾自信與行動力。
Now, months after the All-on-4 procedure, my teeth feel completely natural and stable—like having a third set of teeth. Friends say I look younger, and I can teach, travel, and meet with ease, regaining both confidence and mobility.


更讓他放心的是,這次植體選用全球植牙領導品牌諾保科,結合蒔美專業團隊與完整維護,還享有終身原廠保固,未來保養不必擔心成為「植體孤兒」。
Even more reassuring, the implants come from Nobel Biocare, a global leader in dental implants, paired with Smile Dental’s expert team and comprehensive maintenance program, including a lifetime manufacturer warranty. I know my teeth are in good hands for the long term.

如果你也因缺牙而猶豫,不妨先踏出諮詢的第一步。專業規劃能讓治療更安心,也讓笑容與健康真正回到生活中。
If you’re hesitating about treating missing teeth, the first step is simply to schedule a consultation. With careful planning and professional care, you can restore both your smile and your confidence.








































