小庭一直是個愛笑的女孩,從小那對虎牙就是她的可愛招牌。只是隨著牙齒越來越擠,這份童年的特色,漸漸成了讓她在笑容裡猶豫的原因。笑的時候總覺得有點彆扭,拍照也常悄悄調整角度,擔心臉型看起來不對稱。
Ting has always been known for her radiant smile—and for the slightly prominent canines that gave her grin a playful edge. As a child, they were her trademark. But over time, as crowding began to push her teeth further out of alignment, that childhood charm became a source of self-consciousness. Smiling started to feel awkward. In photos, she’d subtly shift her angle to make sure her face looked symmetrical.


在大學同學推薦下,她來到蒔美牙醫,找上柯瑾諭醫師。她有個小小的心願:希望保留虎牙的特色,同時讓牙齒變得整齊自然。這看似簡單的期待,其實需要專業的判斷與細心規劃。就這樣,小庭的隱適美矯正旅程,悄悄開始了。
Referred by a college friend, Ting came to Smile Dental and met Dr. Chin-Yu Ko with a simple wish: straighter teeth without losing the charm of her canines. But that modest request required both technical skill and design sensitivity—exactly where Dr. Ko excelled. And so began her Invisalign journey.

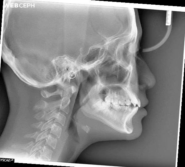
透過 Bjork 分析法(Bjork Analysis) 評估後發現,小庭屬於 低角型顱顎骨格模式(Hypodivergent Skeletal Pattern),外觀上可見臉型略短的特徵。此外,她的 上下門牙夾角偏小(呈銳角),使得前牙外傾的情況較為明顯
Through Bjork Analysis, we found that Ting had a hypodivergent skeletal pattern, characterized by a shorter lower facial height. The analysis also revealed a reduced interincisal angle, causing her front teeth to appear slightly flared.


在治療規劃上,我們希望藉由調整上門牙的軸向,使其角度回復至理想位置,進而改變 下顎平面角度(Mandibular Plane Angle) 與 咬合平面角度(Occlusal Plane Angle)。這樣的改變有助於讓臉部比例回復至較接近 正常顱顎關係(Normal Divergent Skeletal Pattern) 的狀態。
In planning her treatment, Dr. Ko aimed to upright the maxillary incisors and bring them back to a more ideal inclination. This adjustment would also help refine both the mandibular plane angle and the occlusal plane angle, restoring her facial proportions toward a more balanced skeletal pattern.
同時,適度增加咬合平面角度,可在微笑時創造更自然的 微笑曲線(Smile Arc) 與理想的 露齒量(Incisal Show),使整體笑容更具協調與美感。
By slightly increasing the occlusal plane angle, Dr. Ko sought to enhance Ting’s smile arc and achieve a more natural incisal show, allowing her smile to look both harmonious and effortlessly confident.
隱適美矯正,不拔牙也可以?
Invisalign Without Extractions? Yes, It's Possible.

考量到小庭五官立體、上唇支撐也很好,柯醫師選擇了不拔小臼齒的矯正方式,盡可能保留她原本的臉型線條。這樣的決定,其實來自柯醫師多年累積的審美經驗與細膩判斷。
Dr. Ko noticed that Ting’s facial features were well defined and her upper lip had good natural support. To preserve her facial profile, he designed a non-extraction treatment plan—no premolars removed. It’s a choice that reflects years of clinical experience and a refined sense of aesthetics.

不拔牙的矯正其實比想像中更有挑戰,空間拿捏稍有不慎,牙齒雖然排得整齊,卻可能變成「整齊的暴牙」。為了避免這樣的狀況,柯醫師透過多種調整方法,慢慢在保留臉型的同時,為牙齒找到剛剛好的排列空間。
But going without extractions comes with its own challenges. Without creating space, teeth may end up neatly aligned—but pushed too far forward. Dr. Ko used a range of subtle adjustments to ensure the teeth had just enough room to settle into place, without compromising her natural look.
隱適美矯正,智齒該不該拔?
When Wisdom Teeth Complicate the Plan….

拔智齒來創造矯正空間,是常見的選擇。但在仔細分析小庭的X光後,柯醫師發現她的下排智齒長得比較靠近齒槽神經,雖然拔掉後出現長期麻木的機率不高,但風險依然存在。
Removing wisdom teeth is a common strategy to create space in orthodontics. But in Ting’s case, her X-rays revealed a different story: her lower wisdom teeth sat dangerously close to the mandibular nerve. While the risk of long-term numbness was low, it was still a risk.

聽到這樣的說明,小庭有些猶豫。柯醫師理解她的擔心,耐心陪著她,一步步討論每個可能的選擇。最後,團隊選擇保留智齒,改用其他方式慢慢創造排列空間。對蒔美來說,讓病人安全、放心是最重要的。
Understandably, Ting hesitated. Dr. Ko took the time to explain every option and walked her through each scenario. In the end, the team decided to leave the wisdom teeth intact and take a more conservative path—one that prioritized safety and peace of mind.
隱適美矯正背後的整合設計
Behind the Invisalign: A Plan as Individual as Her Smile
負責小庭療程的柯瑾諭醫師,是隱適美原廠認證的鑽級醫師,也是少數能靈活結合各種治療工具與隱適美數位技術的專業醫師。
Dr. Chin-Yu Ko is a Diamond-level Invisalign provider, certified by Align Technology, and one of the few doctors in Taiwan known for blending digital tools with creative treatment planning.


在不拔小臼齒、也不拔智齒的前提下,柯醫師為她規劃了整合式的調整策略,讓牙齒排列自然又穩定:
-擴弓:拓寬牙弓,預留牙齒排列空間。
-牙齒瘦身:在牙齒兩側輕微修磨,製造微小縫隙。
-後退牙齒:讓牙齒適度往後,維持自然的口唇線條。
-咬合調整:改善錯咬,讓下巴位置更對稱自然。
In Ting’s case, he combined several strategies to create space—without removing any teeth:
- Arch expansion: widening the dental arches to allow room.
- Interproximal reduction: gently reshaping the sides of the teeth to create micromovements.
- Tooth retraction: moving teeth slightly backward to maintain a balanced lip line.
- Bite adjustment: correcting crossbite to help center the jaw.
一點一滴,慢慢讓牙齒與笑容,回到屬於她的位置。
Every move was calculated. Every shift, intentional. Together, they brought her teeth—and her smile—into perfect harmony.
隱適美微笑不只整齊,更保留專屬的虎牙特色
A Smile That’s Straight, but Still Unmistakably Hers
在替小庭規劃矯正時,柯醫師特別保留了她虎牙的一點特色,避免讓她的笑容變得過於單調制式。
Throughout the process, Dr. Ko made one thing clear: “Orthodontics isn’t about giving everyone the same smile. It’s about revealing the one that suits you best.”
That’s why he chose to preserve just a hint of Ting’s canines—the little quirk that made her smile hers.


「矯正不是讓大家變成一樣的笑容,而是找到最適合她的樣子。」柯醫師說。
於是,在牙齒排列整齊的同時,那一點屬於小庭的虎牙特色也被自然保留下來,讓她的笑容在整齊與自然之間,取得剛剛好的平衡,不僅維持美觀,更展現她原有的可愛個性。
The result? A smile that’s neat, balanced, and still full of personality. Not cookie-cutter. Not overly polished. Just real.
有了遠端線上監控,隱適美矯正更輕鬆
Between Classes and Checkups, Technology Stepped In
對還在念大學的小庭來說,一邊忙課業、一邊往返牙科回診並不輕鬆。好在這次療程有Dental Monitoring的協助,只要用手機回傳口內照片,柯醫師就能遠端掌握牙齒變化,大幅減少回診次數,也讓整個治療過程輕鬆了不少。
As a full-time university student, Ting’s schedule was packed. Frequent dental visits? Not ideal. Thankfully, her treatment included Dental Monitoring—a smart system that allowed her to send intraoral images through her phone. Dr. Ko could track her progress remotely, reducing the need for in-person check-ins and keeping everything on track without adding stress.


專屬攝影棚,見證她的隱適美蛻變時刻
A Studio, a Smile, and a Story of Change

隨著牙齒一點一點變整齊,小庭的變化也悄悄發生了。笑容變得自然了,說話時不再遮掩,拍照時的表情也多了幾分自在。
As her teeth gradually found their way into alignment, so did her confidence. Ting smiled more easily. She spoke without covering her mouth. She stopped tilting her head for photos.


隨著牙齒一點一點變整齊,小庭的變化也悄悄發生了。笑容變得自然了,說話時不再遮掩,拍照時的表情也多了幾分自在。
療程結束後,蒔美特地在專屬攝影棚,為她留下蛻變後的第一張笑容照,替這段專屬於她的改變,留下溫暖的紀錄。
As her teeth gradually found their way into alignment, so did her confidence. Ting smiled more easily. She spoke without covering her mouth. She stopped tilting her head for photos.
To celebrate the end of her treatment, Smile Dental invited her into their studio for a portrait session—her first official photo with her new smile. It marked the close of a journey—and the start of a new chapter.
矯正療程走到了終點,但學會喜歡自己的笑容,才剛剛開始.....
The treatment may be done—but learning to love her smile is just beginning.
開啟您的隱適美線上諮詢,讓蒔美團隊陪你找回專屬的笑容。
Start your Invisalign consultation with Smile Dental—and let the team help you rediscover the smile that’s already yours.








































