

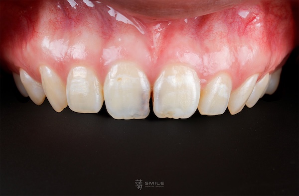
我在美業工作,平常超重視美感,但不太好看的笑容讓我一直很在意,牙齒黑黑黃黃、短短小小的,真的不太喜歡。久了越來越自卑🫣,這也是為什麼我明明超愛拍照、每天發限動,卻從來不敢露齒笑。
我一直很想做瓷牙貼片,但不知道自己合不合適,就這樣,我的第一次諮詢正式開始了!有點緊張、也有點期待......
Working in the beauty industry means I care a lot about aesthetics—but my smile was the one thing I could never feel confident about. My teeth were dark, short, uneven… and the insecurity just grew over the years. It’s ironic: I love taking photos and posting on Stories, yet I hadn’t shown my teeth in nearly ten years.I’d always wanted porcelain veneers but never knew if I was a good candidate. So I finally booked my first consultation—nervous, excited, and secretly hoping it could be the start of something new.
我想做瓷牙貼片,但......我真的適合嗎?
I’ve always wanted veneers, but… am I really a good candidate?

踏進蒔美,我真的有被驚豔到!
全棟的牙科醫療大樓!!個案諮詢師好親切溫柔,整個空間也很有質感,完全是我會愛上的風格😍!走進去立刻有種「好,我今天就是來變漂亮」的感覺。
這次是由許庭豪醫師幫我評估,他也是「蒔美數位笑容重建中心」主任,給人的感覺既專業又很有親和力。經過許醫師解釋我才知道,原來貼片不是想做就能做,還要先確認整個口腔的健康狀況,未來才不會出問題。
許醫師幫我做了一整套數位檢查:X 光、口內掃描、臨床檢查、咬合分析…每一項都超仔細。最後確認我的條件都很OK,他才安排後續療程。
這樣態度真的讓我安心到不行。他完全不是那種「你想做,我就馬上幫你做」的醫師, 反而會一步一步確認你真的適合這個療程,真的可以讓你變美、變健康,才會往下一步走。
The moment I walked into Smile Dental, I was blown away—an entire chic, high-end building just for dental care. My consultation was with Dr. Ting-Hao Hsu, the director of Smile Dental’s Digital Smile Reconstruction Center. He was both professional and approachable. He showed me veneers aren’t something you rush; they start with a full health check. He did a complete digital exam and only moved forward once everything looked good.That level of care made me feel completely safe—and earned my trust immediately.


原來「變漂亮」也能這麼具體討論!
貼片數位模擬超加分♡
Who knew “pretty” could be something you actually talk through?
治療前,
許醫師很仔細的和我討論想要怎麼樣的貼片呈現,
他說他最在意的是「我喜歡的漂亮是不是你喜歡的那一種」。
為了讓我們的溝通不要有誤差,
許醫師會用數位的方式模擬貼片做好的模樣,
我們一起盯著模擬圖討論了超多次,
一項一項慢慢討論到好。(要美的話,真的很多細節)
記得有一次,
許醫師問我喜歡什麼樣的牙齒顏色,
我只說:「比自然再白一點就好。」
講完自己也覺得超抽象(^_^;)。
畢竟我在美業工作,
顏色只要偏一點點,
就會完全不是我要的那種感覺。
好在蒔美有很精準的數位微笑系統,
亮度、色階、形狀都可以術前微調到很細,
整個溝通過程就變得超順暢。
Before we started, Dr. Hsu asked what kind of smile I wanted and said, “My version of beautiful should match yours.”
That stayed with me. With digital smile design, we adjusted every detail together.
Their system let us fine-tune everything until it felt like me.
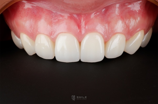
所以現在完成的貼片,
真的跟我們一開始討論的方向一模一樣:
有自然的漸層、不會假白,
顏色跟形狀就是我心裡想要的那一個!
貼片要好看,
審美能力真的很重要,
而有美感又願意花時間跟你仔細溝通的醫師,
真的超稀有。
而許醫師,
就是那種會把你的美當成自己責任看待的人!🤩
And now?
My veneers look exactly as we planned
—soft, natural, perfectly shaped.
Good aesthetics matter.
And doctors who truly care about your taste are rare.
Dr. Hsu is one of them.

技師也現場參與診斷,貼片小細節都不放過!
Having the dental technician right there with us? Made all the difference.


另外很特別的是,蒔美竟然還有自己的數位牙技師!一般牙科大多是外包給外面的牙技所製作,但蒔美不只設備超先進,連診所內都有自己專屬的牙技師。
許醫師在幫我診療時,牙技師也會在旁邊一起觀察,近距離了解我牙齒的狀況、顏色、型態,還會在現場一起比色、討論外型細節等等,避免沒有直接討論造成的誤差。
整個流程讓我覺得他們超細心,不只設計漂亮,製作過程也很講究,每個小地方都想幫我做到最好。
One thing that really surprised me: Smile Dental has their own in-house digital technician. Most clinics send veneer work to an outside lab, but here the tech is right beside Dr. Hsu during the exam—checking my tooth color, studying shapes up close, and discussing tiny details on the spot. No guessing, no back-and-forth. Everything felt intentional and precise. The smile design was beautiful, and the crafting process was just as meticulous. You can really feel they want every detail to be perfect for you.
做貼片讓我懂了!專業比迎合更重要
professionalism matters more than saying yes.



貼片做好那天,我真的被自己美到。許醫師拿鏡子要我試著笑看看,我已經好久沒有那麼大方露齒笑。
原本我只打算做上排貼片,可是一看成品,我整個人直接被自己圈粉🥹,心裡馬上浮現:「欸~如果下排一起做好,不就更漂亮嗎?」畢竟變漂亮真的就是我的興趣嘛 (˶ˊᵕˋ)੭♡
結果讓我意外的是,許醫師反而建議我先不要。他看完之後很坦白地說,下排現在比較凌亂,如果硬做貼片,效果不會理想,還可能影響口腔健康。
那瞬間我真的愣住,第一次遇到我自己提需求,結果醫師卻拒絕的。
但也因為這樣,我突然理解到他真的很有原則。
許醫師說得很清楚:做下排貼片之前,一定要先把牙齒排整齊,這樣做出來才漂亮,也才健康。
老實說,那句話真的打動我。可能因為我自己也在美業,很知道客戶最需要的其實不是迎合,更看重真誠的專業,願意告訴你什麼該做、什麼不該做。
許醫師的原則、美感還有細心,讓我把貼片交給他完全不擔心 (。˘ ◡ ˘。)。
I originally planned to do only the upper veneers, but after seeing the result, I immediately wanted the lower ones too. But Dr. Hsu surprised me—he suggested waiting. My lower teeth were still a bit crooked, and he said doing veneers now wouldn’t look ideal or be healthy. He insisted on straightening them first. That honesty really stayed with me. It’s rare for someone to choose what’s truly right over simply saying yes. His standards made trusting him feel effortless.
做貼片過程,覺得自己被好好對待
Every step of the way, I felt genuinely cared for.



治療到現在,我真的覺得自己好幸運。遇到好的診所、好的醫師、好的諮詢師,整個療程從頭到尾都被照顧得超細心,真的有一種被呵護著變美的感覺。(⁎⁍̴̛ᴗ⁍̴̛⁎)
現在的我就在變更美的路上,下排矯正一完成,就輪到我最期待的貼片登場啦~ 光想就覺得心情整個飛起來!🤩
而且貼片的 CP 值真的很高。只要好好照顧牙齒,定期回診,貼片就可以陪我一直漂漂亮亮下去。這種自我投資,真的覺得很值得!
最重要的是,我現在終於能大方露齒笑了~已經迫不及待想狂拍一堆照片,把這個可可愛愛的笑容好好存下來♡
This whole journey has made me feel so lucky. Every step—with the right clinic and the right doctor—felt gentle, thoughtful, and reassuring.Once my lower braces are done, I finally get to start the veneer phase I’ve been so excited about. And they’re such a great long-term investment too. But the best part? I can smile with my teeth again—carefree, happy, and completely myself.










































