
來源:我們不能是朋友

來源: 夏若妍-Nita Xia
長期活躍於影像與平面拍攝領域的夏若妍,曾參與多部影視作品,包括《我們不能是朋友》、《料理高校生》等戲劇演出,在鏡頭前累積了豐富經驗,也在 IG 擁有 11.6 萬追蹤。對她而言,笑容不只是表情,而是整體狀態的一部分,尤其在不同光線與拍攝距離下,牙齒色澤的乾淨度,往往會直接影響畫面的完成度。
Active for many years in both film and commercial photography, Hsia Jo-yen has appeared in numerous television dramas. With extensive on-camera experience and over 116,000 followers on Instagram, she understands that a smile is more than an expression — it is an essential part of one’s overall presence. Under different lighting conditions and shooting distances, the cleanliness and brightness of teeth often have a direct impact on the final visual result.



這次選擇冷光美白療程,並非為了追求誇張的亮白效果,
而是希望在不影響工作節奏與日常生活的前提下,
讓牙齒呈現更自然、穩定的亮度。
透過專業評估與療程規劃,
將美白視為一種「可控、可預期」的狀態管理,
而非一次性的改變。
對夏若妍來說,
用心對待細節,
是長期站在鏡頭前的基本功。
從畫面呈現到日常互動,
她更在意的是整體是否協調、是否耐看。
這次的冷光美白體驗,
也正是她在鏡頭之外,
為自己做出的另一種用心選擇。
This time,
her decision to undergo
an in-office teeth whitening treatment
was not driven by a desire
for dramatically white teeth.
Instead,
she hoped to enhance brightness in a natural way —
without disrupting her work schedule or daily routine.
Through professional evaluation and treatment planning,
whitening was approached as a form of
controlled and predictable smile management,
rather than a one-time cosmetic change.

在長時間拍攝、近距離鏡頭與高解析影像的環境下,笑容不只是外表的一部分,更是一種專業表現。對長期從事影像與表演工作的夏若妍而言,牙齒的自然亮白與整體口腔狀態,是她對自己極為重視的細節。
此次,她選擇蒔美牙醫進行專業冷光美白療程,在兼顧安全性與效果穩定度的前提下,讓笑容在鏡頭內外都維持最佳狀態。
In environments involving long shooting hours, close-up shots, and high-resolution imagery, a smile is more than appearance — it is a professional asset. For Hsia Jo-yen, who has long worked in visual and performance-based fields, naturally bright teeth and overall oral health are details she takes seriously.
This time, she chose Smile Dental Group for a professional in-office whitening treatment. With safety and treatment stability as top priorities, the goal was to ensure her smile remains at its best — both on and off camera.

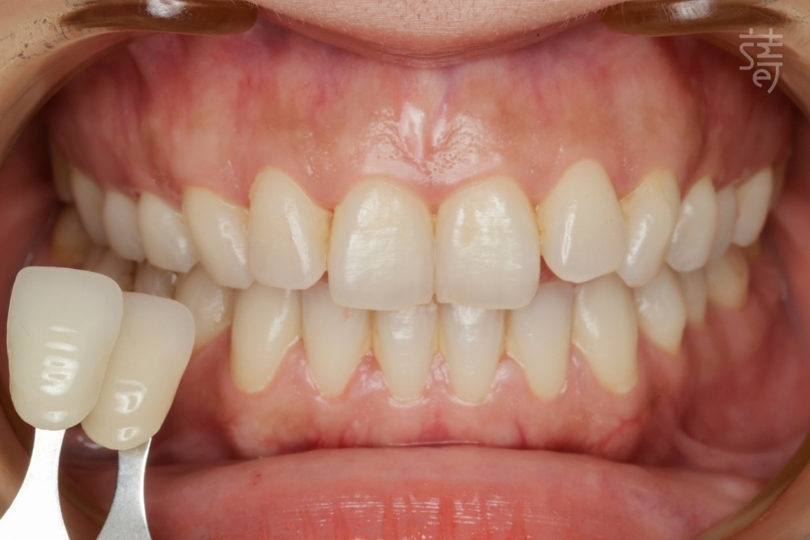
為什麼選擇冷光美白?
Why Choose In-Office Teeth Whitening?
冷光美白是一種在牙醫師專業評估與監控下進行的牙齒美白方式,透過特定波長的冷光輔助美白藥劑作用,可在短時間內提升牙齒亮白度,同時降低對牙齒與牙齦的刺激。
適合族群包含:
• 需要面對鏡頭、舞台或高曝光工作的專業人士
• 希望在重要活動前改善牙齒色澤者
• 追求自然、不過度漂白效果的患者
In-office whitening is a professional dental whitening procedure performed under a dentist’s evaluation and supervision. By using a specialized cold-light system to activate whitening agents, the treatment can enhance tooth brightness in a short time while minimizing irritation to the teeth and gums.
This treatment is suitable for:
• Professionals who frequently face cameras, stages, or high-exposure environments
• Individuals preparing for important events who wish to improve tooth color
• Patients seeking natural-looking results without over-bleaching
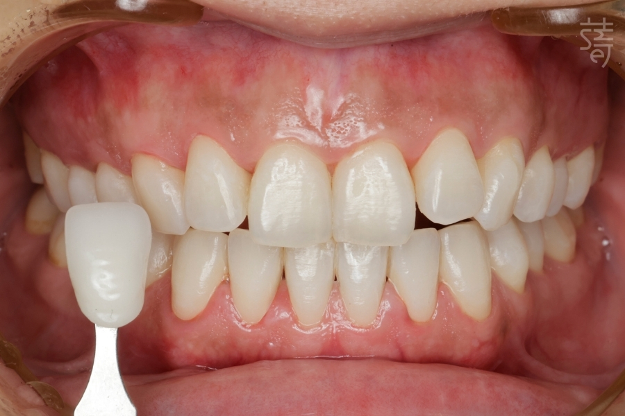
蒔美牙醫的專業評估流程
Smile Dental Group’s Professional Evaluation Process
在療程開始前,蒔美牙醫會先進行完整的口腔檢查與評估,確認牙齒與牙周狀況是否適合進行美白,並依個人條件調整治療策略。
療程流程包含:
每一個步驟,皆以「安全、穩定、可預期」為核心原則。
Before treatment begins, Smile Dental Group conducts a comprehensive oral examination to determine whether whitening is appropriate based on the patient’s dental and periodontal condition. The treatment plan is then tailored to individual needs.
The process includes:
• Oral and dental health examination
• Tooth shade assessment and whitening goal setting
• Gum protection and isolation
• In-office whitening procedure
• Post-treatment evaluation and care recommendations
Every step follows three core principles: safety, stability, and predictability.
自然亮白,而非過度漂白
Natural Brightness, Not Excessive Whitening
夏若妍在療程後表示,她最在意的並不是「變得多白」,而是整體看起來是否自然、是否能長時間維持健康狀態。
蒔美牙醫在美白療程的設計上,刻意避免過度刺激與不自然的色澤變化,讓牙齒亮白度與膚色、臉部表情能自然融合。
After the treatment, Hsia Jo-yen shared that her primary concern was not how white her teeth became, but whether the results looked natural and could be maintained in a healthy state over time.
Smile Dental Group intentionally avoids over-stimulation and unnatural color changes, allowing tooth brightness to blend naturally with skin tone and facial expressions.
專業醫療 × 品牌信任
Professional Dentistry × Brand Trust
蒔美牙醫長期專注於 高標準牙科治療與美學整合,無論是牙齒美白、全口重建或植牙治療,皆以完整評估、清楚說明與長期穩定為核心。
名人選擇蒔美,並非因為宣傳,而是對專業與細節的信任。
Smile Dental Group has long focused on high-standard dental care and aesthetic integration. Whether it is teeth whitening, full-mouth rehabilitation, or implant treatment, the clinic emphasizes comprehensive evaluation, clear communication, and long-term stability.
Public figures choose Smile Dental Group not for promotion, but for trust in professional expertise and attention to detail.
常見問題
FAQ
When performed with proper evaluation and correct clinical procedures, in-office whitening is a safe treatment. At Smile Dental Group, the whitening intensity is adjusted according to individual conditions to minimize unnecessary irritation.
Results vary depending on individual diet and lifestyle habits. In general, whitening effects can last from several months to over a year. Dentists will also provide post-treatment care recommendations to help maintain results.
Most patients experience only mild and temporary sensitivity, which typically resolves within a short period of time.
預約專業諮詢
Book a Professional Consultation
如果你也希望在安全、可預期的前提下,改善牙齒色澤與整體笑容質感,歡迎預約蒔美牙醫的專業評估。
專業冷光美白療程
由醫師為你量身評估適合的美白方式
If you are looking to improve tooth color and the overall quality of your smile — safely and predictably — we invite you to schedule a professional evaluation at Smile Dental Group.
Professional In-Office Teeth Whitening
Personalized whitening plans, evaluated and performed by licensed dentists


































