

許多人以為磨牙只是小毛病,頂多讓牙齒變短、外觀不佳,戴個咬合板就能解決。其實,長期磨牙可能導致牙齒斷裂、神經暴露,甚至引起咬合崩塌,影響說話與進食。
Many think teeth grinding is a minor issue—maybe just shortening the teeth or affecting appearance, easily fixed with a night guard. In reality, long-term grinding can cause fractures, exposed nerves, and even collapse of the bite, impacting speech and eating.

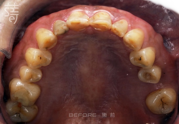
三十多歲的李先生就是典型例子。多年磨牙讓牙齒幾乎磨平,加上後牙缺失、牙齒傾倒,導致越咬越深。長期下來,不僅口腔功能受限,也讓他這位經常需要上鏡的專業人士,在鏡頭前漸漸失去自信。
Mr. Li, in his thirties, is a textbook case. Years of grinding had flattened his teeth, while missing and tilted molars worsened the bite. Over time, his oral function suffered, and as a professional frequently on camera, he gradually lost confidence in front of the lens.

直到來到蒔美牙醫,經薛聖儒醫師縝密分析,才釐清問題根源在「整體咬合失衡」。若僅針對單一牙齒修補調整,無法真正解決問題,唯有從全口重新規劃,調整結構與高度,才能真正恢復健康、穩定與自然笑容。而屬於李先生的蛻變之旅,也從此展開.....
It wasn’t until Mr. Li came to Smile Dental that Dr. Xue conducted a thorough analysis, identifying the root cause: an overall bite imbalance. Simply fixing individual teeth wouldn’t solve the problem. Only a full-mouth plan, adjusting structure and height, could restore health, stability, and a natural smile. Mr. Li’s transformation journey began from that moment.
三階段整合治療:從排列到美學,一步步重建笑容
Three-Stage Treatment: Rebuilding Smiles from Alignment to Aesthetics
薛聖儒醫師為李先生規劃了三大治療階段,從齒列矯正、重建後牙支撐,到全口美學修復,以循序漸進的方式調整咬合高度,讓功能與外觀同步回歸理想狀態。
Dr. Xue mapped out three treatment stages for Mr. Li: teeth alignment, restoring molar support, and full-mouth aesthetic reconstruction. Each phase progressively adjusted the bite height, bringing function and appearance back into harmony.
第一階段:隱適美矯正 Stage One: Invisalign Alignment




將牙齒重新排列整齊,調整上下咬合,把原本傾倒的第二大臼齒推回正確位置,為後續植牙和假牙重建打好基礎。
Teeth were realigned, the bite adjusted, and the previously tilted second molars repositioned, laying a solid foundation for implants and prosthetics.
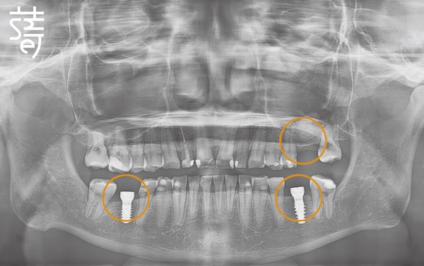
第二階段:植牙重建缺牙區 Stage Two: Implants for Missing Molars




針對缺牙已久的後牙區進行植牙,恢復後牙支撐,避免整體咬合繼續崩塌,讓口腔受力更均衡。
Implants were placed in the long-missing molar areas to restore support, prevent further bite collapse, and balance oral forces.
第三階段:全口美學重建 Stage Three: Full-Mouth Aesthetic Restoration


最後進行全口假牙與美學修復。許多人以為這一步只是追求美觀,其實這正是確保牙齒能長期穩定的關鍵步驟,讓美觀與功能同時回歸理想。
Finally, full-mouth prosthetics and aesthetic restoration were completed. Many assume this step is purely cosmetic, but it’s actually crucial for long-term stability.



🔼 蒔美引進 DSD 微笑設計系統,讓患者在假牙製作前預覽未來笑容樣貌。再由數位牙體技術師同步製作臨時假牙,讓患者在實際試戴過程中,提前感受理想笑容的美觀與舒適,並根據李先生主觀感受進行微調,找到最終的完美方案。
Smile Introduces the DSD Smile Design System, Letting Patients Preview Their Future Smile. Digital dental technicians then create temporary prosthetics, allowing patients to trial their ideal smile and comfort. Adjustments are made based on Mr. Li’s feedback to achieve the final, perfected result.
華盛頓大學教授親臨指導:細節調整,決定假牙能否真正好用
Washington University Professor Guides: Fine-Tuning the Details for Truly Functional Prosthetics
許多人做完假牙後,雖然外觀看起來沒問題,卻常覺得「吃東西時怪怪的」。事實上,問題往往藏在肉眼難以察覺的細節裡。
Many patients feel something is “off” when chewing, even if the prosthetics look perfect. The issue usually lies in subtle, hard-to-see details.


在李先生的全口美學重建階段,蒔美牙醫特別邀請美國華盛頓大學贋復牙科權威陳延維教授親自來台示範,傾囊相授那些極難偵查的關鍵細節。
During Mr. Li’s full-mouth aesthetic reconstruction, Smile invited Dr. Chen, a prosthodontic expert from Washington University, to guide the team and demonstrate those nearly invisible, critical adjustments.

陳教授特別重視「臨時假牙」的調整過程,逐一檢查每個咬點與滑動路徑,確保咬合力量平均分布、上下牙接觸自然順暢。這些微小修正,其實是預防顳顎疼痛、臉部肌肉緊繃、咀嚼困難或發音不清的關鍵。
Dr. Chen focused on fine-tuning the temporary prosthetics, checking each contact point and sliding path to ensure even bite force and smooth upper-lower tooth contact. These tiny adjustments prevent jaw pain, muscle tension, chewing difficulty, and speech issues.



為了達到極致精準,陳教授並未使用一般常見的咬合紙,而是採用僅 8 微米厚的 shim stock,能偵測出極細微的不平衡。對患者而言,看似細瑣的步驟,換來的卻是更自然、穩定且長久舒適的假牙體驗。
For maximum precision, Dr. Chen used an 8-micron shim stock instead of standard bite paper to detect the slightest imbalances. To the patient, these meticulous steps translate into prosthetics that feel natural, stable, and comfortable for the long term.
從一開始就看見理想笑容的終點藍圖
Seeing the Ideal Smile from the Start

在蒔美牙醫,李先生的全口重建不是倉促開始,而是從一份縝密的「終點藍圖」展開。薛聖儒醫師與陳延維教授聯手合作,透過多次遠端討論,從最終的微笑曲線到咬合高度,一再確認每個細節。
At Smile, Mr. Li’s full-mouth reconstruction didn’t start hastily—it began with a carefully crafted “end-point blueprint.” Dr. Xue and Dr. Chen collaborated over multiple remote discussions, reviewing every detail from the final smile curve to bite height.


「全口重建的關鍵,不在於做得多快,而在於能否在一開始就定下精準的藍圖,並準確抵達理想的終點。」陳教授這句話,成了整個治療的核心。這種「以終為始」的思維,讓治療不再充滿不確定性,而是一條清楚可預見的路。
“The key to full-mouth reconstruction isn’t speed, but establishing a precise plan from the start and reaching the intended outcome accurately,” Dr. Chen said. This philosophy guided the entire treatment.
華盛頓大學以美學為導向的全口重建理念(esthetically driven full-mouth rehabilitation),也在蒔美被完整實踐。團隊在規劃初期就先模擬出最理想的笑容樣貌,並透過高階DSD微笑設計系統,醫師、病患、技師三方緊密確認,讓每一步都精準銜接、事半功倍。任何治療細節都緊扣最終目標,恢復完美笑容的過程,不走冤枉路,也讓患者安心無虞。
The University of Washington’s esthetically driven full-mouth rehabilitation philosophy is fully realized at Smile. From the very beginning, the team simulates the ideal smile and uses the advanced DSD smile design system to ensure close collaboration between dentist, patient, and technician. Every step aligns precisely, maximizing efficiency. Each treatment detail is guided by the ultimate goal, making the path to a perfect smile clear and reassuring for the patient.
引進全球唯一科技,讓假牙「懂你」的真實咬合
The World’s Only Technology: Prosthetics That “Understand You” for Lasting Comfort
許多人裝上假牙後,看起來沒什麼問題,但實際吃東西,總覺得說不出的怪,不像自己的真牙。這往往不是醫師手藝的問題,而是傳統製作方式只看「靜止時」的咬合,忽略了每天吃飯、講話、吞嚥的真實動作。
Many people find their dentures look fine but feel strange when eating—they don’t feel like their own teeth. This usually isn’t the dentist’s skill; traditional methods only consider static bite positions, ignoring the real-life movements of chewing, speaking, and swallowing.
蒔美牙醫引進法國高階科技 Modjaw 動態咬合分析,是全球唯一能精準記錄下顎真實運動軌跡的系統,等於幫每個人做出「專屬的動態咬合地圖」。藉由這份數據,醫師能讓假牙與你的自然動作完美契合。
Smile Dental introduced the French Modjaw dynamic occlusion system—the only technology in the world that precisely tracks the real jaw movements, creating a personalized “dynamic bite map.” With this data, dentists can ensure prosthetics perfectly match natural jaw motions.
Modjaw三大關鍵,讓假牙自然、好用、快速適應
Three Key Advantages of Modjaw: Natural, Functional, and Fast to Adapt
精準捕捉咀嚼軌跡 Accurate Chewing Trajectory Capture

李先生因多年磨耗,咀嚼時已養成一套「自己的習慣」。若在製作假牙時改變這個模式,可能需要長時間重新適應,甚至引發顳顎關節不適。透過 Modjaw,我們能完整捕捉李先生的咀嚼軌跡,讓最終假牙精準貼合原有習慣,戴起來就像自己的牙齒一樣,這是在傳統技術中幾乎無法做到的。
Years of wear had given Mr. Li a unique chewing pattern. Changing this during denture fabrication could require lengthy adaptation or cause jaw discomfort. Modjaw captures his natural chewing trajectory, allowing prosthetics to fit seamlessly and feel just like his own teeth—something nearly impossible with traditional techniques.

🔼 左圖為重建前咀嚼軌跡;右圖為重建後,最外圍角度幾乎一致,讓完成的假牙戴起來宛若自己的牙齒。
The left image shows pre-reconstruction chewing patterns; the right shows post-reconstruction. The outer angles align almost perfectly, making the final prosthetics feel like natural teeth.
下顎定位精準,咬合更舒適 Precise Jaw Positioning for Comfortable Bite
咬合高度是否舒適,與顳顎關節位置息息相關。Modjaw 協助下顎關節穩定在正確位置,避免假牙戴上後咬合干擾、牙齒痠軟敏感或咀嚼困難。
Comfortable bite height depends on correct jaw positioning. Modjaw stabilizes the jaw in the optimal location, preventing bite interference, tooth sensitivity, or chewing difficulty once the dentures are in place.
取代傳統咬合器,減少重建誤差 Replaces Traditional Articulators, Minimizing Errors

傳統須依靠印模、咬合記錄,再轉移到咬合器上,每多一道步驟就可能帶來誤差。Modjaw 不需中間轉換,精準度高、流程更簡化。
Traditional methods rely on molds and bite records, transferring data to an articulator—a process prone to errors at each step. Modjaw eliminates these transfers, increasing accuracy and simplifying the workflow.
自然笑容的背後,是蒔美一步步的用心
Behind a Natural Smile: Smile’s Step-by-Step Care


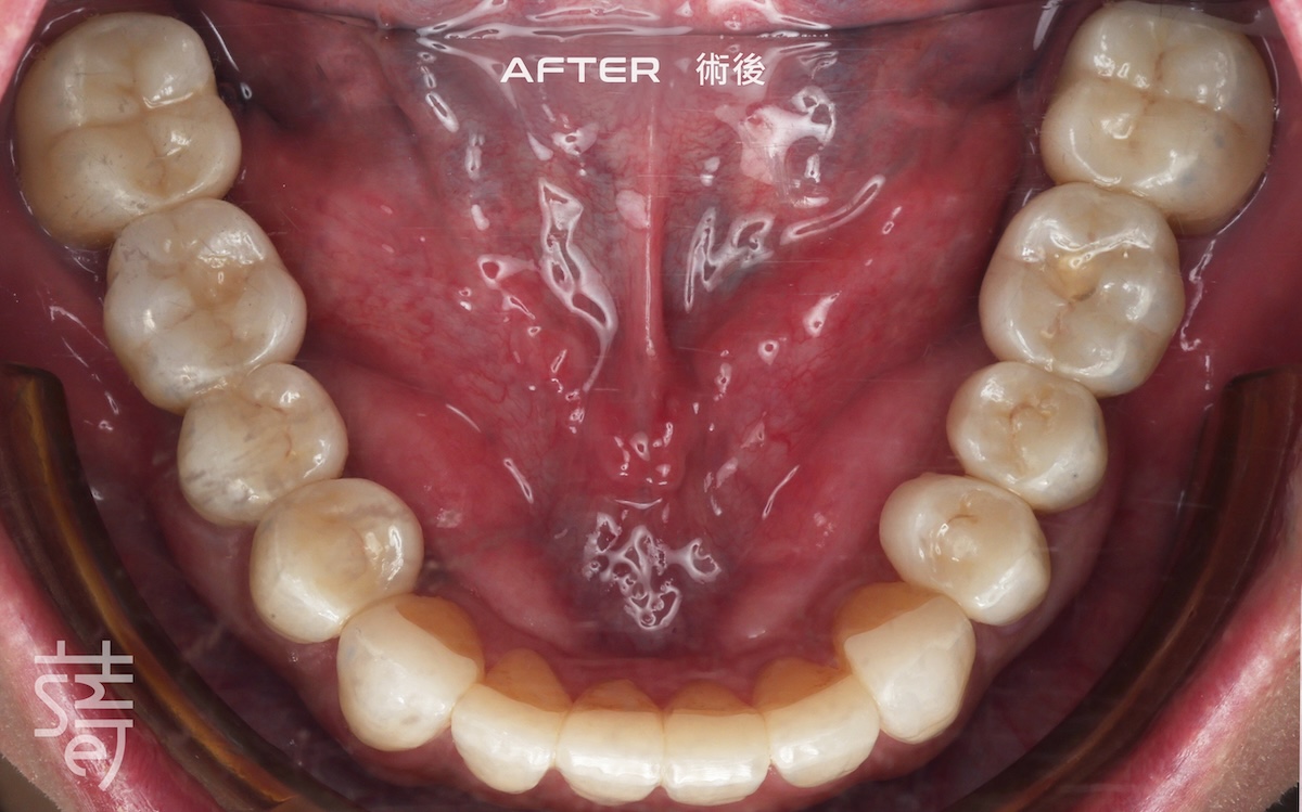
經過一段完整而細緻的治療,李先生終於重新露出久違的笑容,自然、上鏡,也能自在享受每一口美食。
After a thorough and meticulous treatment, Mr. Li finally revealed a long-lost smile—natural, camera-ready, and able to enjoy every bite with ease.





從矯正、植牙、臨時假牙的調整,到最終假牙的完成,每一步都凝聚著薛醫師的專注與團隊的細心。透過 Modjaw 的動態咬合紀錄與國際專家的臨床經驗,蒔美讓李先生的笑容不只漂亮,更兼具穩定與健康。
From alignment, implants, and temporary prosthetic adjustments to the final restoration, every step reflected Dr. Xue’s focus and the team’s care. With Modjaw’s dynamic bite records and international expertise, Smile ensured Mr. Li’s smile was not only beautiful but stable and healthy.

這份「自然」不是偶然,而是從每一個細節累積而來的用心。蒔美相信,能長久陪伴日常的笑容,才是真正屬於你的美好與自在。
This “natural” result wasn’t by chance—it was built from meticulous attention to every detail. Smile believes that a smile that lasts through everyday life is the one that truly belongs to you.








































