

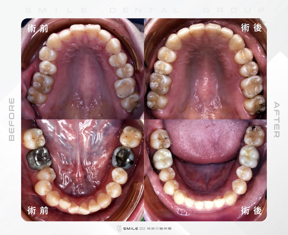
婷婷個性穩重細心,但笑容總在綻放前略顯遲疑。她坦言,因為牙齒排列不整齊、尤其是中線明顯偏移,每次照鏡子或拍照都覺得臉看起來有些歪,讓她難以自在開懷大笑。
為了改善這個問題,她來到蒔美牙醫,諮詢隱適美中線矯正療程,希望在不干擾日常生活的前提下,悄悄完成這場笑容的改變。
牙齒中線偏移原因?隱適美矯正前先精準評估
經由齒顎矯正專科醫師的詳細評估後發現,婷婷除了牙弓較窄、牙齒排列略顯擁擠外,還有深咬的情況。而她最在意的,就是那條明顯偏離的牙齒中線。
醫師說明,中線偏移在臨床上相當常見,背後可能牽涉到多種因素,包括:
- 顎骨左右發育不對稱
- 咬合受干擾,導致下顎偏移
- 左右牙齒大小不同、排列空間分配不均
「針對中線偏移,其實有不少方式可以改善,」醫師進一步說明,「透過隱適美搭配輔助裝置,例如橡皮筋或骨釘,通常可調整約2到3毫米的偏差,讓中線更接近理想位置。」
隱適美再升級:預覽中線矯正成果,療程更安心
中線能否調整到位,除了技術執行,更仰賴治療前的充分溝通。畢竟,我們的臉本就不是絕對對稱,輕微中線偏移屬於正常現象。重點不在完美對齊,而是是否與臉型比例與咬合功能達成協調。
蒔美同步應用RayFace 200 臉部掃描儀與 iTero Lumina 口腔掃描儀,從牙齒到五官比例,進行全臉立體分析與整合規劃,牙齒尚未移動前,婷婷就能清楚看見笑容變化,並與醫師具體討論:「這樣的排列,是我理想中的樣子嗎?」

隱適美搭配進階技術,讓中線微調更到位
在這次療程中,醫師為婷婷規劃了隱適美矯正計畫,溫和引導牙齒移動,讓上下牙弓中線逐步趨近理想位置。
針對婷婷的需求,也靈活搭配進階技術:像是齒間修磨(IPR)微調牙齒寬度,創造左右對稱空間;再輔以不對稱橡皮筋,引導牙弓朝理想方向微幅移動。
初期透過這些方式,中線已有改善,但婷婷期待達到更強烈的對稱感。經溝通後,醫師加上單側骨釘,進行約 2 毫米的精細微調,進一步強化移動效果。

這些細膩的調整,其實仰賴的不只是隱適美牙套本身,更是醫師對矯正工具的熟悉度與靈活運用。如此一來,隱適美的效果才能真正貼近患者心中的理想模樣。

隱適美搭配 AI 監控,中線矯正不必三天兩頭跑診所
此外,婷婷也擔心忙碌工作會影響療程進度。為了讓她安心矯正,蒔美特別導入來自法國的 AI 智慧矯正監控系統 Dental Monitoring。每週只需用手機簡單拍攝牙齒影像,上傳至專屬 App,AI 就能分析配戴狀況與牙齒移動進度,並同步回傳給醫師遠端追蹤。
不必三天兩頭跑診所,療程依然有效率。這樣的數位監控,不僅節省時間,也讓矯正過程變得更輕鬆、更安心。如果你也是忙碌上班族,這會是一項很有感的輔助工具。

隱適美矯正中線,讓自信與笑容同步回歸
療程結束後,婷婷每次回診,笑容都更加自信。牙齒排列整齊、中線明顯改善,整體臉型也更加協調自然。

這份轉變,來自隱適美牙套的溫和矯正力道,更來自醫師對輔助技術的精準整合與靈活運用。蒔美齒顎矯正團隊由鑽級隱適美醫師領軍,持續與歐美頂尖矯正院所交流,將國際先進理念與技術帶入每一位患者的療程中,讓變化更安心、更穩定、更有效率。
如果你也曾因中線偏移或笑容不對稱而感到在意,歡迎預約蒔美諮詢。讓隱適美與數位科技,一起幫你重新規劃牙齒與臉型的協調關係,打造專屬於你的自信笑容。現在,就是最好的起點!
一分耕耘,一分收獲,種下美的種子,讓蒔美陪您一起耕耘、成長。

蒔美數位牙醫美容中心|隱適美矯正部
蒔美數位美容中心提供舒適寬敞的空間,五星級吧檯候診休憩區讓患者能放鬆身心、消除平時的疲勞。大片落地窗採光、明亮通透的診間及具備隱密性的矯正衛教空間,蒔美獻上最貼心的服務,讓患者感受與眾不同看診體驗。當完成矯正治療後,可以到蒔美專屬的蒔光攝影棚為美麗笑容留下最深刻的回憶。

蒔美矯正專科醫師團隊
蒔美隱適美已經建置了百分百齒顎矯正專科醫師團隊。和一般牙醫師不同的是,矯正專科醫師有長達11年的養成期練,是牙醫學院專門訓練來處理各種複雜的齒列不整狀況,有相當紮實的矯正功力。

蒔美矯正醫師團隊積極參與國際交流活動
蒔美矯正醫師團隊獲智能監測矯正裝置 ⎯ 法國 Dental Monitoring 原廠認可,特邀至Dental Monitoring 法國總部參訪,並至法國當地診所 OrthoNimes、SELARL RSB,以及比利時診所Orthosmile參觀。另外蒔美集團更率領近20位助理與諮詢師赴香港,參觀隱適美紅鑽醫師Dr. Lam的康霖牙科與以引進高科技數位設備聞名的香港現代牙科,深入了解香港牙科醫療的現況與未來趨勢。蒔美集團持續追求更卓越的進步,積極參與各大國際活動與世界接軌,和世界各地牙科權威交流最新知識與技術。











































